症例詳細
Case detail
矯正中に黄ばんだ歯を白くしたい
治療症例の内容
- 診療科目
- 治療カテゴリ
- 患者様
- 40代女性
- 治療期間
- 1日
- 治療回数
- 1回
- 治療計画
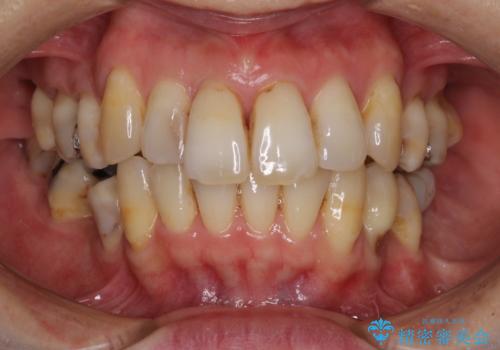
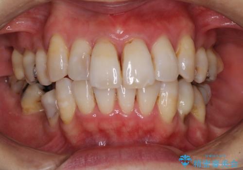
- インビザライン使用中でアタッチメントを外したタイミングでホワイトニングを行いました。
- 費用(概算)
- 治療費の目安: 29,700円(処置前クリーニング込み)費用は治療当時の料金となります
治療について
エクセレントホワイトニング3回照射を行いました。
歯の色は1トーン上がり患者様には満足していただけました。
担当歯科衛生士
東京駅前しらゆり歯科 DH加藤
ホワイトニングの注意事項(リスク・副作用など)
- 知覚過敏が出ることがあります
- ホワイトバンドや白い斑点が出ることがあります
- クラウンやインレー等の補綴物には効果がありません
- ホワイトニングによる効果や持続期間には個人差があります
- 歯牙の状態によっては適応できないことがあります
- 保険適用外となります
当サイトの内容、テキスト、画像等の無断転載、複製、複写、盗用を固く禁じます。


