症例詳細
Case detail
徐々に下がってきた歯肉へ再生療法(歯冠側移動術と結合組織移植術の併用)を施術し、丈夫な歯肉を獲得させた症例
治療症例の内容
- 診療科目
- 治療カテゴリ
- 担当医
- 林佳士登(ドクタープロフィール)
- 患者様
- 50代男性
- 治療期間
- 3ヶ月
- 治療回数
- 5-10回
- 治療計画
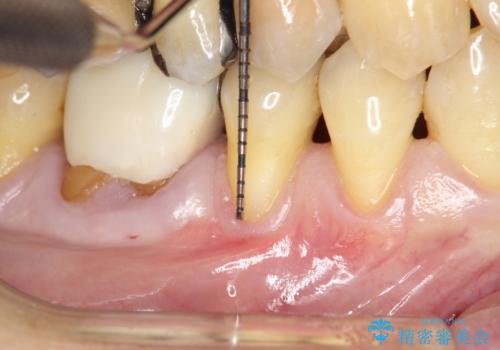
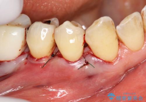
- 右下4番と5番に丈夫な歯肉が不足しているために、徐々に歯肉が下がってきていたケースです。
これ以上の歯肉退縮を防ぐべく、丈夫な歯肉の獲得を目的として結合組織移植術による対応を行いました。
患部にはごくわずかに丈夫な歯肉(角化歯肉)がある状態でした。この丈夫な歯肉の幅を十分に増大させ、厚みを持たせる事で、ブラッシングによっても下がりにくく安定した状態となります。
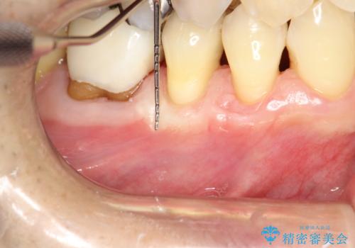
術式は歯冠側移動術と歯肉結合組織移植術を併用しました。
- 費用(概算)
- 10万円費用は治療当時の料金となります
治療について
今回のケースでは小臼歯2本分の幅に渡って丈夫な歯肉を確保させるため、オペのデザイン上、横に幅広く均一な結合組織を採取する必要がありました。そのため、トラップドア方式で内部の組織をえぐって採取する術式は使わず、上顎歯肉の表層から結合組織部までを含む部分までを遊離歯肉採取の要領でやや深めに採取し、表層部分をトリミングする事で均一な厚みの結合組織を採取しました。この術式の利点として、上顎の歯肉に過度に深い侵襲を与える事がないため、組織採取部の術後の治癒が非常に早く、術後の不快症状も少なくて済む事が挙げられます。
術後3ヶ月にて意図した通りに丈夫な歯肉の幅が増大し、厚みも十分に確保できました。
これで歯肉が下がることを気にせずしっかりとブラッシングしていただく事が可能になりました。
歯周病治療の注意事項(リスク・副作用など)
- 外科手術のため、術後に痛みや腫れ、違和感を伴います
- 歯周組織再生治療は患者様の状態によって術後の経過が異なります(見た目が改善しない場合もあります)
- 歯周組織再生治療は自費診療(保険適用外)となります
当サイトの内容、テキスト、画像等の無断転載、複製、複写、盗用を固く禁じます。
















