症例詳細
Case detail
初めてのホワイトニング スペシャル3回照射
治療症例の内容
- 診療科目
- 治療カテゴリ
- 患者様
- 20代女性
- 治療期間
- 1日
- 治療回数
- 1回
- 治療計画
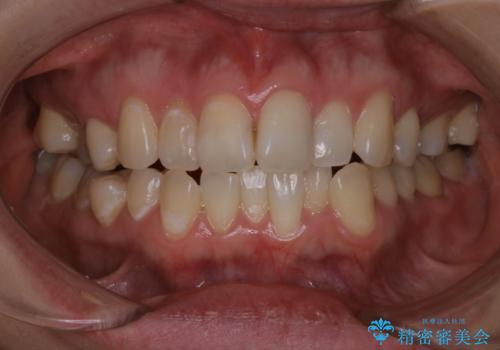
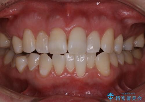
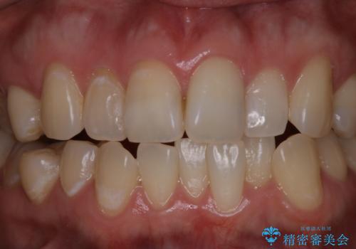
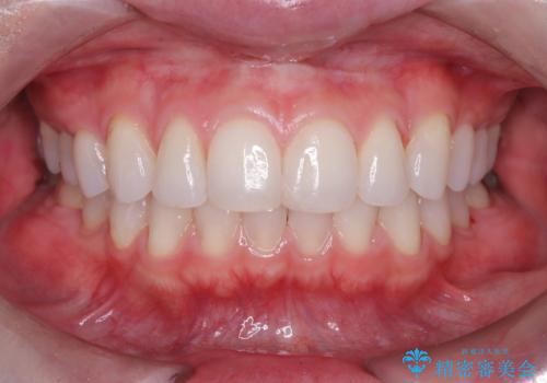
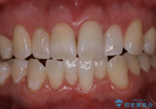
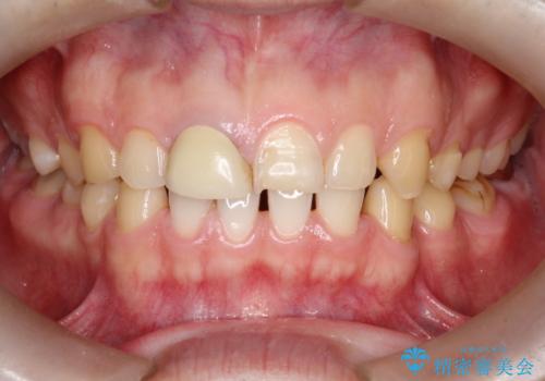
- 今までホワイトニングの経験がなく、スタンダードとエクセレントの間をとってスペシャルコース希望とのことでした。より効果を期待するためにオプションの処置前クリーニング(¥3300 税込)を行ってから、オフィスホワイトニングのスペシャル3回照射(¥12,430 税込)を行いました。また照射後には、トリートメント(¥550 税込)も行いました。
- 費用(概算)
- ¥16,280 (税込)費用は治療当時の料金となります
治療について
ホワイトニングは施術後前に、担当の歯科衛生士により歯の状態を確認してからコースのご相談などを行います。歯肉が腫れていたり、歯周病や虫歯がある方は、治療を先にご案内する場合もあります。場合によっては当日に施術ができないこともあります。
また、妊娠中の方、授乳中の方はご遠慮ください。
担当歯科衛生士
表参道しらゆり歯科 DH西澤
ホワイトニングの注意事項(リスク・副作用など)
- 知覚過敏が出ることがあります
- ホワイトバンドや白い斑点が出ることがあります
- クラウンやインレー等の補綴物には効果がありません
- ホワイトニングによる効果や持続期間には個人差があります
- 歯牙の状態によっては適応できないことがあります
- 保険適用外となります
当サイトの内容、テキスト、画像等の無断転載、複製、複写、盗用を固く禁じます。





