症例詳細
Case detail
スペシャルホワイトニング3回照射
治療症例の内容
- 診療科目
- 治療カテゴリ
- 患者様
- 40代男性
- 治療期間
- 1日
- 治療回数
- 1回
- 治療計画
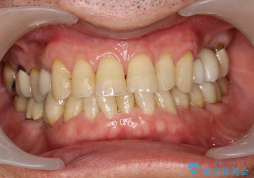
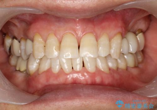
- 1週間前にメンテナンスで来院されました。その際、ホワイトニングについても興味があるとのことで、ホワイトニングのカウンセリング・ご相談をさせていただきました。今回はオフィスホワイトニングのスペシャルコース3回照射を行いました。
- 費用(概算)
- 12,430円(税込)費用は治療当時の料金となります
治療について
ホワイトニング時には、歯肉が腫れていたり、歯に汚れがついていたり、虫歯・歯周病などがある場合は当日処置ができないことがあります。そのため、まずはメンテナンスやクリーニングに来ていただき、ホワイトニングをするための準備をすることがおススメです。しっかりクリーニングを行うことでホワイトニング薬剤の浸透がより効果的に発揮されます。
お口の状態により、当日に処置前クリーニングを行ってそのままホワイトニングが可能な場合もあります。
担当歯科衛生士
表参道しらゆり歯科 DH西澤
ホワイトニングの注意事項(リスク・副作用など)
- 知覚過敏が出ることがあります
- ホワイトバンドや白い斑点が出ることがあります
- クラウンやインレー等の補綴物には効果がありません
- ホワイトニングによる効果や持続期間には個人差があります
- 歯牙の状態によっては適応できないことがあります
- 保険適用外となります
当サイトの内容、テキスト、画像等の無断転載、複製、複写、盗用を固く禁じます。






