症例詳細
Case detail
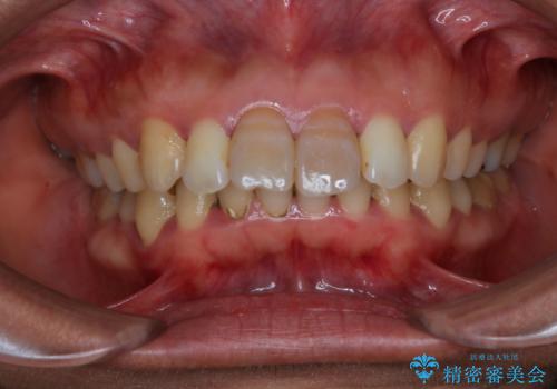
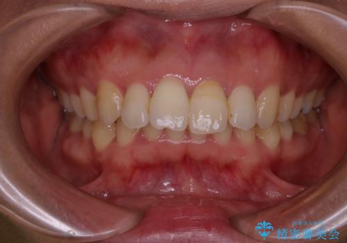
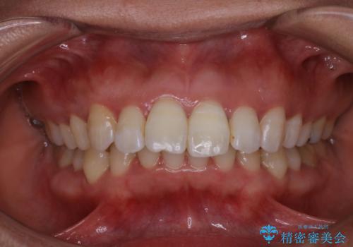
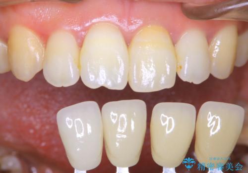
歯を白くしたい‐ウォーキングブリーチで内側から白く
治療症例の内容
- 診療科目
- 治療カテゴリ
- 担当医
- 患者様
- 20代女性
- 治療期間
- 3ヶ月
- 治療回数
- 2-5回
- 治療計画
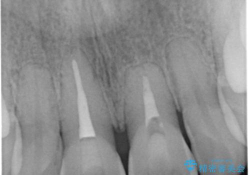
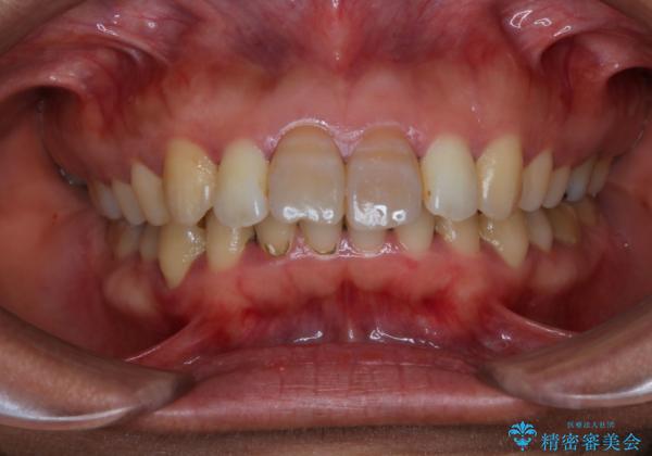
- 前歯の色が気になるとのことでご相談にいらした患者様です。診断の結果、前歯は2本とも失活していたために精密根管治療から治療を開始しました。根管治療後にウォーキングブリーチを行うことで歯の色をトーンアップさせました。患者様より周囲の歯も全体的に白くしたいとのご希望があったため、オフィスホワイトニングも併せて行いました。
- 費用(概算)
- 4万円(精密根管治療・オフィスホワイトニングは除く)費用は治療当時の料金となります
治療について
ウォーキングブリーチ法とは歯の中に薬剤を入れて内側からホワイトニングを行う方法であるため、根管治療がされている歯のみ適応となります。生活歯(神経が生きている歯)に対してはオフィスホワイトニングやホームホワイトニングが有効です。
ホワイトニングの注意事項(リスク・副作用など)
- 知覚過敏が出ることがあります
- ホワイトバンドや白い斑点が出ることがあります
- クラウンやインレー等の補綴物には効果がありません
- ホワイトニングによる効果や持続期間には個人差があります
- 歯牙の状態によっては適応できないことがあります
- 保険適用外となります
当サイトの内容、テキスト、画像等の無断転載、複製、複写、盗用を固く禁じます。








