症例詳細
Case detail
- 患者様
- 50代男性
- 治療期間
- 3ヶ月
- 治療回数
- 2-5回
- 治療計画
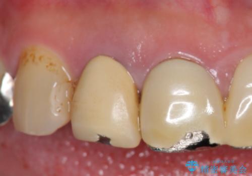
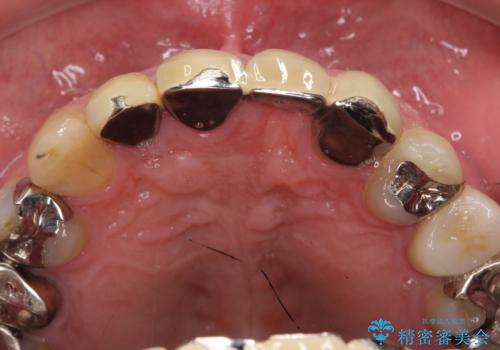
- 歯根が割れてしまい抜歯になった歯を入れ歯にした症例です。
前歯部なので金属の留め金を使わないノンクラスプデンチャーによる補綴を行いました。
- 費用(概算)
- ノンクラスプデンチャー(ウェルデンツ)…¥100,000費用は治療当時の料金となります
ノンクラスプデンチャーについて
ノンクラスプデンチャーは従来の入れ歯と異なり金属の留め金を使用しないため、非常に審美性に優れたな入れ歯です。
入れ歯の注意事項(リスク・副作用など)
- ブリッジやインプラントと比較して、色が合いづらい、見た目の違和感があります
- ブリッジやインプラントと比較して、話しにくい、舌が当たる等の違和感があります
- 慣れるまで微調整で何度か通って頂くことがあります
- 就寝時や食後に毎回取り外して、清掃する必要があります
- 自費診療(保険適用外)となります
当サイトの内容、テキスト、画像等の無断転載、複製、複写、盗用を固く禁じます。




