症例詳細
Case detail
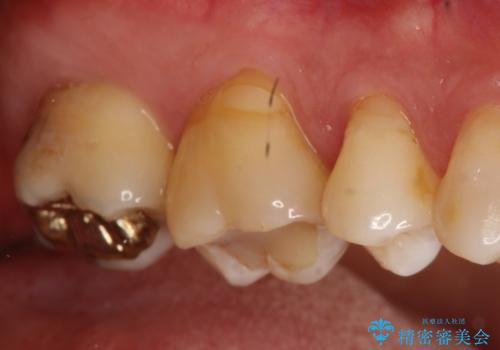
奥歯のゴールドインレーによる虫歯治療
治療症例の内容
- 診療科目
-
- 治療カテゴリ
- 担当医
- 患者様
- 40代男性
- 治療期間
- 1ヶ月
- 治療回数
- 2-5回
- 治療計画
- 以前治療したところが欠けてしまったところを見てほしいとのことで来院されました。
右上の後ろから2番目の歯に詰めてあったものが、一部欠けてしまっていました。
そして隣接部にも虫歯が確認されました。
ゴールドインレーにて治療することとなりました。
- 費用(概算)
- 約6万円費用は治療当時の料金となります
治療について
ゴールドは目立つという点を除いては、非常に良い材料です。
奥歯の目立たない部位や、見た目をそこまで気にされない方にはお勧めです。
PGA(ゴールド)クラウン、インレーの注意事項(リスク・副作用など)
- インレーおよびクラウンは脱離するリスクがあります
- 形成量はセラミックより少ないですが、歯の形成、修復後に歯に症状が出ることがあります
- 自費診療(保険適用外治療)となります
当サイトの内容、テキスト、画像等の無断転載、複製、複写、盗用を固く禁じます。








