症例詳細
Case detail
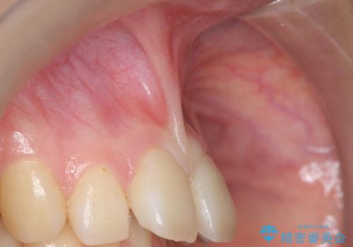
上唇小帯切除 矯正前の予防的処置
治療症例の内容
- 診療科目
- 治療カテゴリ
- 担当医
- 患者様
- 10代女性
- 治療期間
- 1日
- 治療回数
- 1回
- 治療計画
- 上顎前歯の隙間と出っ歯が気になるため矯正ををしたいといらっしゃった方の症例です。
上顎前歯の隙間と出っ歯の一因は上唇小帯と呼ばれる上唇と歯茎を結ぶ線維性の付着によるものであり、矯正を行っても後戻りのリスクが高いことから、矯正前に上唇小帯の切除を行いました。
- 費用(概算)
- 上唇小帯切除…¥30,000費用は治療当時の料金となります
上唇小帯について
上唇小帯とは上唇と歯茎を結ぶ線維性の付着のことです。上唇小帯の付着位置が前歯に近いと今回のケースのように正中離開(前歯の隙間)の原因となります。
外科処置の注意事項(リスク・副作用など)
- 外科手術のため、術後に出血、痛みや腫れ、違和感を伴います
- 口腔内の状態によっては適応できないことがあります
当サイトの内容、テキスト、画像等の無断転載、複製、複写、盗用を固く禁じます。




