症例詳細
Case detail
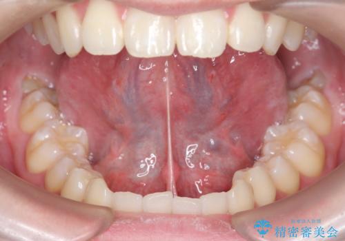
成人の舌小帯切除 舌が動かしにくい
治療症例の内容
- 診療科目
- 治療カテゴリ
- 担当医
- 患者様
- 20代男性
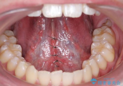
- 治療期間
- 1日
- 治療回数
- 1回
- 治療計画
- 舌が動かしにくく、発音に支障があるため、舌小帯切除術を希望された方の症例です。
- 費用(概算)
- 舌小帯切除…¥30,000費用は治療当時の料金となります
舌小帯切除について
舌小帯は舌の下にある線維性のスジです。これが短かったり、強直していると、舌運動を上手く行えず、発音や咀嚼・嚥下等に弊害をきたす場合があります。
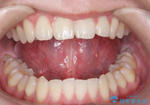
舌小帯を切除することで舌の可動域が広がり、上記の弊害を改善することが可能です。
※症状の改善には個人差があります。
外科処置の注意事項(リスク・副作用など)
- 外科手術のため、術後に出血、痛みや腫れ、違和感を伴います
- 口腔内の状態によっては適応できないことがあります
当サイトの内容、テキスト、画像等の無断転載、複製、複写、盗用を固く禁じます。






