症例詳細
Case detail
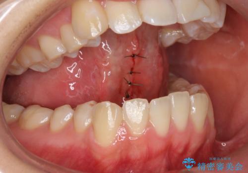
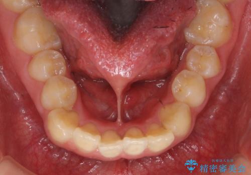
舌が持ち上がらない 舌小帯切除
治療症例の内容
- 診療科目
- 治療カテゴリ
- 担当医
- 井上季実子(ドクタープロフィール)
- 患者様
- 20代女性
- 治療期間
- 1ヶ月
- 治療回数
- 1回
- 治療計画
- 舌小帯の切除を希望して来院。
症例写真を見て他県からお越しになったとのことです。
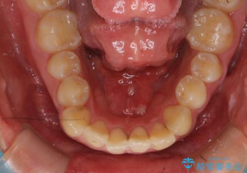
術後に舌の運動(MFT)を行うことで、退縮の防止になります。
- 費用(概算)
- 3.3万円(税込)費用は治療当時の料金となります
治療について
舌を持ち上げた時に、ハート型になるのが適応症です。
外科処置の注意事項(リスク・副作用など)
- 外科手術のため、術後に出血、痛みや腫れ、違和感を伴います
- 口腔内の状態によっては適応できないことがあります
当サイトの内容、テキスト、画像等の無断転載、複製、複写、盗用を固く禁じます。










