症例詳細
Case detail
- 患者様
- 20代女性
- 治療期間
- 1日
- 治療回数
- 1回
- 治療計画
- 生まれつきの歯肉の着色が気になるとのことでした。
後戻りのリスクをご了承頂いた上で、診療を行いました。
- 費用(概算)
- 1万円費用は治療当時の料金となります
治療詳細
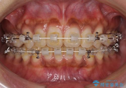
当院で矯正治療中の患者様です。歯肉の着色が気になるとのことでした。
矯正中は、歯のホワイトニングはできませんが、歯肉の着色はきれいにすることができます。
治療の注意事項
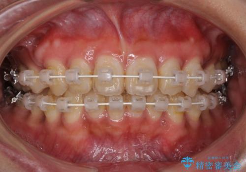
わずかにピリピリとした痛みがあります。
施術後2~3日は、歯肉が白くなったり、赤くなったりします。
施術後5日ほどできれいな歯肉になります。
永久的にきれいな歯肉を維持できるわけではありません(喫煙、コーヒー、ワインなどで着色します)。
PMTCの注意事項(リスク・副作用など)
- 歯を白くする目的の施術ではありません
- 保険適用外となります
当サイトの内容、テキスト、画像等の無断転載、複製、複写、盗用を固く禁じます。


