症例詳細
Case detail
薄い骨にもインプラントを スプリットクレスト+ショートインプラントの応用
治療症例の内容
- 診療科目
- 担当医
- 患者様
- 50代女性
- 治療期間
- 8ヶ月
- 治療回数
- 5-10回
- 治療計画
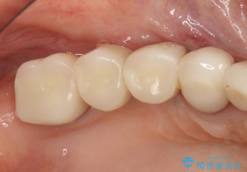
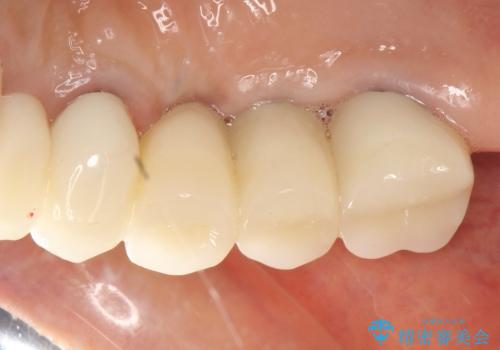
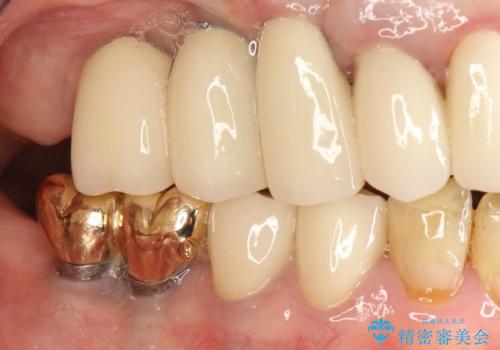
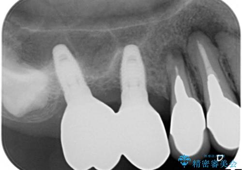
- 破折により保存不可能となった歯を抜歯後、待時してインプラントを計画した。
骨が薄く、インプラントの径に耐え得ないと判断したためスプリットクレストにより骨幅を拡大しインプラントを埋入した。
- 費用(概算)
- インプラント手術(スプリットクレストを含む)→かぶせ物の製作:45万円費用は治療当時の料金となります
治療について
インプラント治療は、「骨の量」があることが絶対条件となります。
骨の高さが低かったり、幅が細かったりと、インプラント治療を困難にするコンディションであった場合、これらをリカバリーするために様々な方法があります。
スプリットクレストやリッジエキスパンジョンといった方法は、骨が薄く、細い場合に、割線を設定し、狭い骨幅を拡大すると同時にインプラントを埋入することができます。
インプラントの種類:Bicon
かぶせ物の種類:PFZ
セラミック治療の注意事項(リスク・副作用など)
- 天然歯を削ります
- 硬い素材は天然歯を傷つけてしまう場合があります
- かみ合わせや歯ぎしりが強すぎる方はセラミックが割れてしまう可能性があります
- 自費診療(保険適用外治療)となります
インプラント治療の注意事項(リスク・副作用など)
- 外科手術のため、術後に痛みや腫れ、違和感を伴います
- メンテナンスを怠ったり喫煙により、お口の中に大きな悪影響を及ぼすインプラント周囲炎等にかかる可能性があります
- 糖尿病、肝硬変、心臓病等の場合、インプラント治療ができない可能性があります
- 高血圧、貧血・不整脈等の場合、インプラント治療後に治癒不全を招く可能性があります
- 自費診療(保険適用外治療)となります
当サイトの内容、テキスト、画像等の無断転載、複製、複写、盗用を固く禁じます。













