症例詳細
Case detail
- 患者様
- 30代男性
- 治療期間
- 1ヶ月
- 治療回数
- 2-5回
- 治療計画
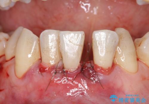
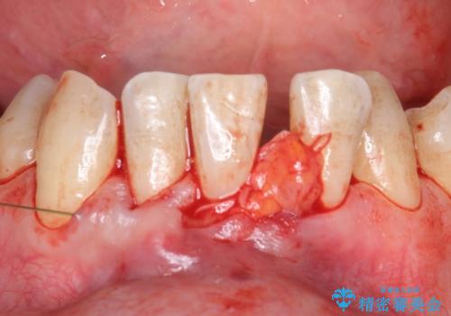
- 矯正前に下顎前歯の歯肉退縮の改善と予防のために歯肉移植を行った症例です。
上顎口蓋部から結合組織を採取し、下顎前歯部に移植しました。
- 費用(概算)
- 歯肉移植…¥100,000、静脈内鎮静法…¥50,000費用は治療当時の料金となります
歯肉退縮について
加齢、歯並び、くいしばり、強いブラッシング圧等、様々な要因により歯肉が退縮してしまうことがあります。
その場合原因の排除とともに、歯肉移植を行うことで歯肉を回復させることができます。
※歯肉移植が適応でないケースもあります。
歯周病治療の注意事項(リスク・副作用など)
- 外科手術のため、術後に痛みや腫れ、違和感を伴います
- 歯周組織再生治療は患者様の状態によって術後の経過が異なります(見た目が改善しない場合もあります)
- 歯周組織再生治療は自費診療(保険適用外)となります
当サイトの内容、テキスト、画像等の無断転載、複製、複写、盗用を固く禁じます。











