症例詳細
Case detail
このままでは抜歯と言われた 失われた骨の再生治療
治療症例の内容
- 診療科目
- 治療カテゴリ
- 担当医
- 患者様
- 30代女性
- 治療期間
- 1年3ヶ月
- 治療回数
- 5-10回
- 治療計画
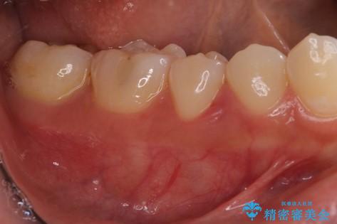
- 他院で抜歯かもと言われ、何か治療法はないかとご来院された患者様です。
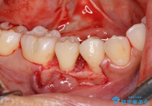
 咬合の関係で、右下の歯に局所的な骨欠損と動揺が認められました。
 必ず骨が再生するとは限らないこと、長期の治療になることご了承の上で、骨の再生治療をご希望されました。
- 費用(概算)
- 9万円費用は治療当時の料金となります
治療詳細
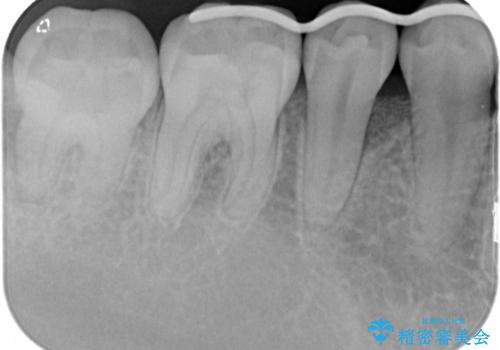
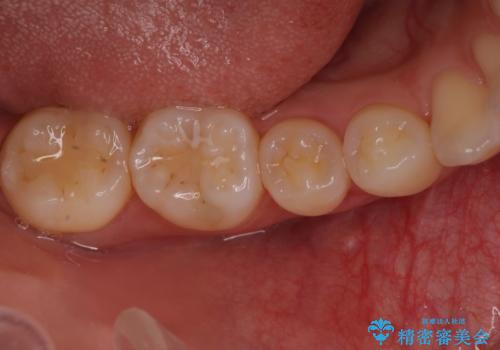
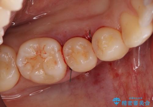
患者様は、他院で右下の歯を抜歯かもと言われました。全体の歯周病はなく、右下の1歯だけ骨が極端に減少していました(初診時歯周ポケット7mm。通常は3mm以下。)。その歯だけ咬合が強いことが原因と考えられたため、咬合を弱くする処置と減少した骨を再生する処置が必要になりました。
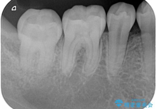
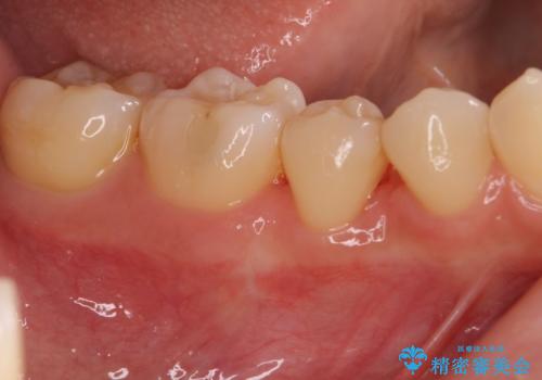
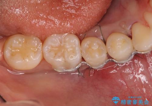
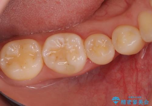
骨の再生治療手術をして10か月経過観察をしたのち、骨を平坦化する手術を行い、治療終了となりました。
再生治療の注意事項
・再生治療は、局所的な骨の減少が対象となります。
・再生治療は、10か月経過観察をする必要があります。
・手術後はしばらくワイヤー等で固定する必要があります。
・歯の神経の症状が出た場合、根管治療等の治療が別途必要になります。
・ほとんどの場合、2回目の手術(骨を平坦化する等)が必要になります。
・どれくらい再生するかは個人差があります。
・再発予防のため、マウスピースの使用をおすすめします。
歯周病治療の注意事項(リスク・副作用など)
- 外科手術のため、術後に痛みや腫れ、違和感を伴います
- 歯周組織再生治療は患者様の状態によって術後の経過が異なります(見た目が改善しない場合もあります)
- 歯周組織再生治療は自費診療(保険適用外)となります
当サイトの内容、テキスト、画像等の無断転載、複製、複写、盗用を固く禁じます。








 
                       
                                                          

























 
                   
                   
                  