症例詳細
Case detail
下がってしまった歯肉を元に戻したいが、自分の歯ぐきを移植するのは気が進まない : バイオマテリアルを応用した歯肉退縮への手術的対応
治療症例の内容
- 診療科目
- 治療カテゴリ
- 担当医
- 林佳士登(ドクタープロフィール)
- 患者様
- 年齢性別秘匿
- 治療期間
- 3ヶ月
- 治療回数
- 5-10回
- 治療計画
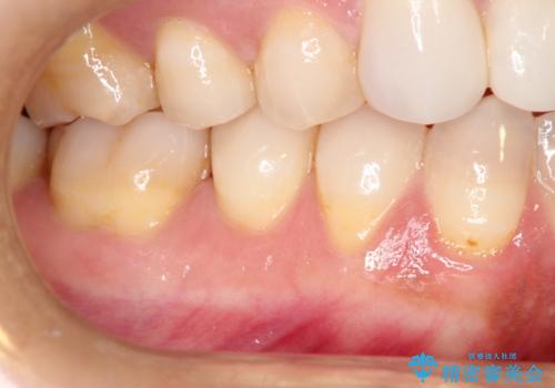
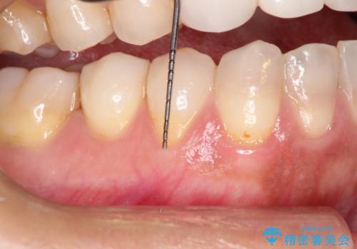
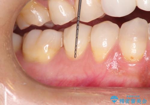
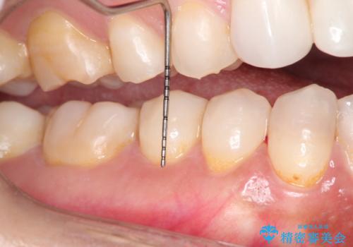
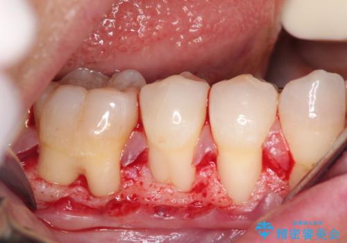
- 昔に受けた矯正治療がきっかけで歯肉が下がってしまった事を主訴として来院された患者様です。
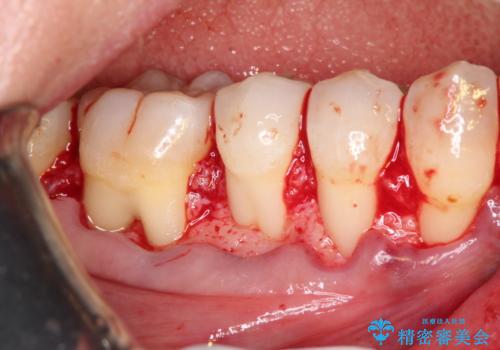
結合組織移植術を行う方法を提案しましたが、傷口が口蓋にもできるのが嫌だとのことで、代替案としてバイオマテリアルを併用した根面被覆術を計画致しました。
治療対象部位は右下4,5,6番の3本です。
- 費用(概算)
- 20万円費用は治療当時の料金となります
治療について
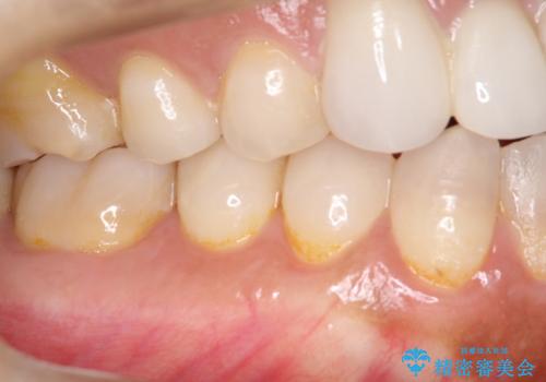
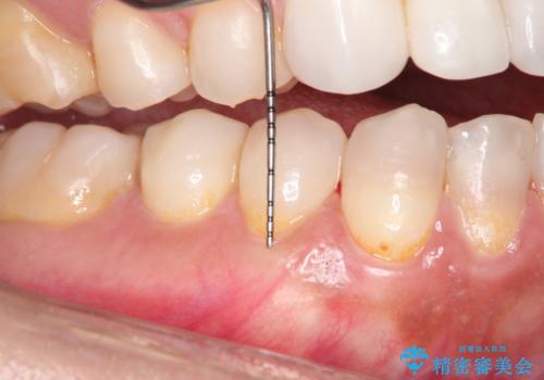
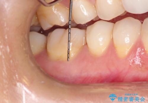
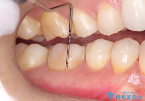
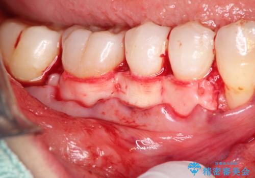
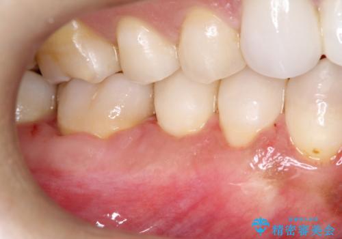
幸いなことに術後の痛みがほとんどなく、翌日には痛み止めも飲まずに済んだとのことでした。
治癒経過も良好で、患者様も満足されていました。また、知覚過敏も減ったとの事でした。
歯周病治療の注意事項(リスク・副作用など)
- 外科手術のため、術後に痛みや腫れ、違和感を伴います
- 歯周組織再生治療は患者様の状態によって術後の経過が異なります(見た目が改善しない場合もあります)
- 歯周組織再生治療は自費診療(保険適用外)となります
当サイトの内容、テキスト、画像等の無断転載、複製、複写、盗用を固く禁じます。
















