症例詳細
Case detail
歯がわれた 抜歯してインプラント 50代男性
治療症例の内容
- 診療科目
- 治療カテゴリ
- 担当医
- 患者様
- 50代男性
- 治療期間
- 9ヶ月
- 治療回数
- 5-10回
- 治療計画
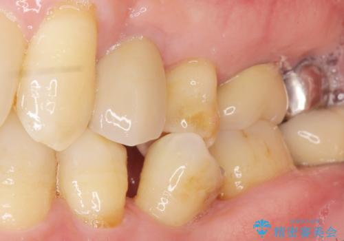
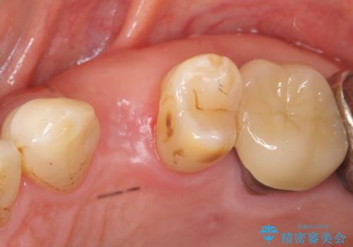
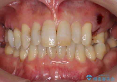
- 歯ぐきの腫れと痛みを主訴に来院された患者様です。
精査したところ、歯が割れており保存不可能な状態であったためやむなく抜歯しました。
患者様のご希望によりインプラント治療を行いました。
- 費用(概算)
- ¥350,000 (インプラント、minor GBR、土台、仮歯、被せ物)費用は治療当時の料金となります
治療について
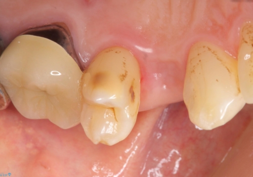
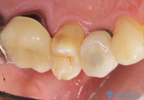
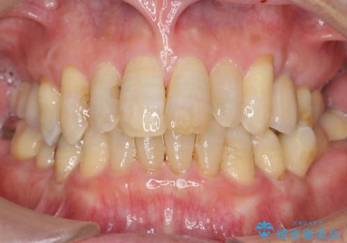
歯科治療や外科手術が苦手な患者様で、治療前はとても怖がっていましたが、インプラント手術後には「思ったよりも大変ではなかった」とおっしゃって下さいました。
元の歯のように咬むことができ、見た目も自然だと喜んで頂けました。
他の部位のインプラント治療もご希望され、現在治療中です。
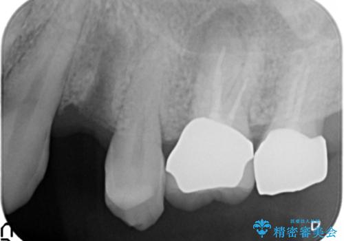
インプラントの種類:スプライン ツイスト
被せ物の種類:メタルボンドクラウン
固定様式:スクリュー固定
インプラント治療の注意事項(リスク・副作用など)
- 外科手術のため、術後に痛みや腫れ、違和感を伴います
- メンテナンスを怠ったり喫煙により、お口の中に大きな悪影響を及ぼすインプラント周囲炎等にかかる可能性があります
- 糖尿病、肝硬変、心臓病等の場合、インプラント治療ができない可能性があります
- 高血圧、貧血・不整脈等の場合、インプラント治療後に治癒不全を招く可能性があります
- 自費診療(保険適用外治療)となります
当サイトの内容、テキスト、画像等の無断転載、複製、複写、盗用を固く禁じます。
















