症例詳細
Case detail
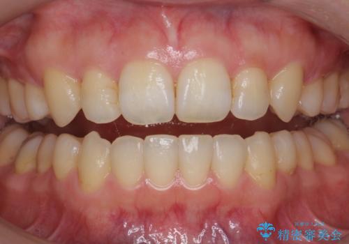
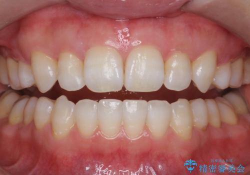
黄ばんだ歯をホワイトニングできれいに。
治療症例の内容
- 診療科目
 
- 治療カテゴリ
 
- 患者様
 - 30代女性
 
- 治療期間
 - 1日
 
- 治療回数
 - 1回
 
- 治療計画
 - 犬歯が特に黄ばんでいました。ホワイトニングの施術を受けるのが初めての患者様です。
 
- 費用(概算)
 - ¥27000(税別)費用は治療当時の料金となります
 
治療について
ホワイトニングエクセレントコース3回照射の施術をしました。
担当歯科衛生士
横浜桜木町歯科 DH百瀬
ホワイトニングの注意事項(リスク・副作用など)
- 知覚過敏が出ることがあります
 - ホワイトバンドや白い斑点が出ることがあります
 - クラウンやインレー等の補綴物には効果がありません
 - ホワイトニングによる効果や持続期間には個人差があります
 - 歯牙の状態によっては適応できないことがあります
 - 保険適用外となります
 
当サイトの内容、テキスト、画像等の無断転載、複製、複写、盗用を固く禁じます。

                      
                                                          

