症例詳細
Case detail
モチベーションの上がる白い歯に
治療症例の内容
- 診療科目
- 治療カテゴリ
- 患者様
- 20代男性
- 治療期間
- 1日
- 治療回数
- 1回
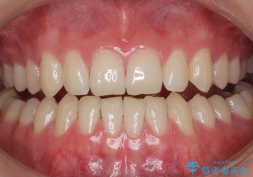
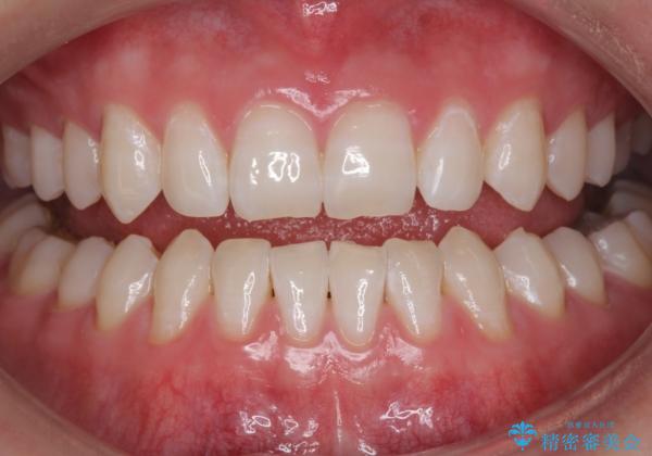
- 治療計画
- 元の色は普通より少し黄色めの白さでした。お口の中は、プラーク等付着してなくてきれいな状態でした。
- 費用(概算)
- ¥27000(税別)費用は治療当時の料金となります
治療について
ホワイトニングエクセレントコースで3回照射の施術をしました。
担当歯科衛生士
横浜桜木町歯科 DH百瀬
ホワイトニングの注意事項(リスク・副作用など)
- 知覚過敏が出ることがあります
- ホワイトバンドや白い斑点が出ることがあります
- クラウンやインレー等の補綴物には効果がありません
- ホワイトニングによる効果や持続期間には個人差があります
- 歯牙の状態によっては適応できないことがあります
- 保険適用外となります
当サイトの内容、テキスト、画像等の無断転載、複製、複写、盗用を固く禁じます。



