症例詳細
Case detail
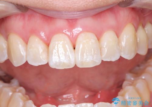
セラミックを被せる前にホワイトニングで歯を白く
治療症例の内容
- 診療科目
- 治療カテゴリ
- 患者様
- 60代男性
- 治療期間
- 1日
- 治療回数
- 1回
- 治療計画
- 歯を全体的にキレイに治していきたいとのことで、セラミックの被せ物治療と併用してホワイトニングの施術をしました
- 費用(概算)
- ¥27000(税別)費用は治療当時の料金となります
治療について
前歯2本は仮歯の為色の変化はしていません。天然歯の部分は元の明るさよりトーンアップしました。
エクセレントコース3回照射の施術をしました。
担当歯科衛生士
横浜桜木町歯科
ホワイトニングの注意事項(リスク・副作用など)
- 知覚過敏が出ることがあります
- ホワイトバンドや白い斑点が出ることがあります
- クラウンやインレー等の補綴物には効果がありません
- ホワイトニングによる効果や持続期間には個人差があります
- 歯牙の状態によっては適応できないことがあります
- 保険適用外となります
当サイトの内容、テキスト、画像等の無断転載、複製、複写、盗用を固く禁じます。








 
                       
                                                          

 
                   
                   
                  