症例詳細
Case detail
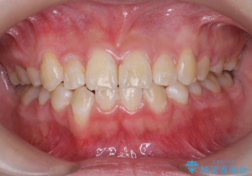
歯の黄ばみを取りたい 20代男性
治療症例の内容
- 診療科目
- 治療カテゴリ
- 患者様
- 20代男性
- 治療期間
- 1ヶ月
- 治療回数
- 1回
- 治療計画
- 歯の黄ばみが気になるということでホワイトニングを希望されました。
- 費用(概算)
- 3万円費用は治療当時の料金となります
治療について
薬剤を塗布し、レーザー照射を3回行いました。
下顎はワイヤーリテーナーが入っていたので犬歯までホワイトニングを行いました。
元々ホワイトスポットが存在したため、ホワイトニングにより少し強調されました。
ホワイトバンドも出現しましたが、数日たてば周りと馴染んできます。
歯肉退縮している部分は知覚過敏がでやすいため、保護材を塗り薬剤が触れないよう配慮し、施術を行いました。
(担当歯科衛生士:東京駅前しらゆり歯科、加藤)
ホワイトニングの注意事項(リスク・副作用など)
- 知覚過敏が出ることがあります
- ホワイトバンドや白い斑点が出ることがあります
- クラウンやインレー等の補綴物には効果がありません
- ホワイトニングによる効果や持続期間には個人差があります
- 歯牙の状態によっては適応できないことがあります
- 保険適用外となります
当サイトの内容、テキスト、画像等の無断転載、複製、複写、盗用を固く禁じます。


