症例詳細
Case detail
レーザーを用いたオフィスホワイト二ングで白い歯に
治療症例の内容
- 診療科目
- 治療カテゴリ
- 患者様
- 20代女性
- 治療期間
- 1日
- 治療回数
- 1回
- 治療計画
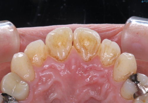
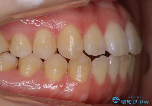
- 歯のホワイトニングを希望されて来院された患者様です。
レーザーを用いたホワイトニングを行いました。
施術前後の変化に大変満足されていました。
- 費用(概算)
- 3万円費用は治療当時の料金となります
治療について
薬剤を塗布し、レーザー照射を3セット行いました。
オフィスホワイトニングは、高濃度の過酸化水素を使ったホワイトニング剤を扱うことができるので、1回の施術で白さを大きくアップすることが可能です。また、後戻りはおよそ半年から1年程度です。白さを強化、持続させるためにオフィスホワイトニング後にホームホワイトニングを行うこと(デュアルホワイトニング)をおすすめしました。
担当歯科衛生士
銀座しらゆり歯科 DH富田
ホワイトニングの注意事項(リスク・副作用など)
- 知覚過敏が出ることがあります
- ホワイトバンドや白い斑点が出ることがあります
- クラウンやインレー等の補綴物には効果がありません
- ホワイトニングによる効果や持続期間には個人差があります
- 歯牙の状態によっては適応できないことがあります
- 保険適用外となります
当サイトの内容、テキスト、画像等の無断転載、複製、複写、盗用を固く禁じます。


