症例詳細
Case detail
新学期。ホワイトニングで歯を白く
治療症例の内容
- 診療科目
- 治療カテゴリ
- 患者様
- 20代女性
- 治療期間
- 1日
- 治療回数
- 1回
- 治療計画
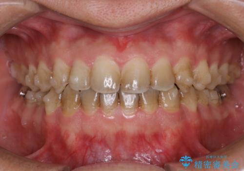
- もともとホワイトスポット(エナメル質形成不全)が全体的に目立つ歯だったので処置後ホワイトスポットがより白くなりました。
- 費用(概算)
- 3万円(税別)費用は治療当時の料金となります
治療について
レーザーホワイトニング3回照射しました。
ホワイトスポットは一時的に白く目立ちますが、馴染んでいきます。
ホワイトニングにより知覚過敏が起こる可能性があります。
担当歯科衛生士
横浜桜木町歯科 DH百瀬
ホワイトニングの注意事項(リスク・副作用など)
- 知覚過敏が出ることがあります
- ホワイトバンドや白い斑点が出ることがあります
- クラウンやインレー等の補綴物には効果がありません
- ホワイトニングによる効果や持続期間には個人差があります
- 歯牙の状態によっては適応できないことがあります
- 保険適用外となります
当サイトの内容、テキスト、画像等の無断転載、複製、複写、盗用を固く禁じます。


