症例詳細
Case detail
前歯のホワイトニング
治療症例の内容
- 診療科目
- 治療カテゴリ
- 患者様
- 30代女性
- 治療期間
- 1ヶ月
- 治療回数
- 1回
- 治療計画
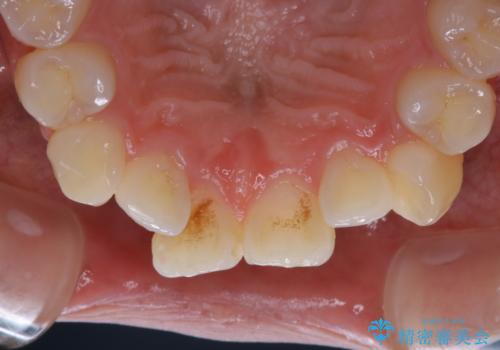
- 当院にて矯正治療前の患者様です。検査にて前歯の根尖に病変を認めたため、矯正に先立ち前歯の治療を行いました。
変色の改善も希望されたため、歯のホワイトニング(ウォーキングブリーチ)にて対応しています。(根管治療はDr.林にて行っています。)
患者様には、矯正治療前に見た目の改善ができたと非常に満足して頂きました。
- 費用(概算)
- 3万円(根管治療は別途)費用は治療当時の料金となります
治療について
歯の変色は根の治療をしても改善しません。
今回は変色の改善のために薬剤によるホワイトニングを用いました。
ホワイトニングによる対応は効果が一生続くわけではないことや、歯牙の状態によっては適応できないことがあります。
また、被せものによる治療に比べ、歯の裏側にある蓋の材料がかけてしまうことも考えられ、細菌の侵入を防ぐために矯正後には被せものを提案しております。
担当歯科衛生士
銀座しらゆり歯科
ホワイトニングの注意事項(リスク・副作用など)
- 知覚過敏が出ることがあります
- ホワイトバンドや白い斑点が出ることがあります
- クラウンやインレー等の補綴物には効果がありません
- ホワイトニングによる効果や持続期間には個人差があります
- 歯牙の状態によっては適応できないことがあります
- 保険適用外となります
当サイトの内容、テキスト、画像等の無断転載、複製、複写、盗用を固く禁じます。





