症例詳細
Case detail
根の治療途中で放置していた歯をセラミックにしたい
治療症例の内容
- 診療科目
- 治療カテゴリ
- 担当医
- 患者様
- 20代女性
- 治療期間
- 2ヶ月
- 治療回数
- 2-5回
- 治療計画
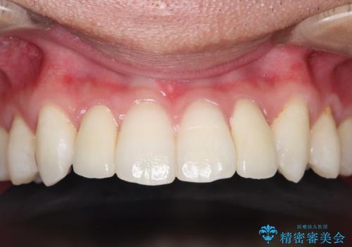
- 右上の前歯2本の治療をご希望され来院された患者様です。
10年前他院での治療途中で行かなくなり、仮歯のまま放置していたとのことでした。
右上の2番目の歯に根尖病変(根の先の病気)を認めたため、再根管治療後、オールセラミッククラウンで補綴修復を行いました。
- 費用(概算)
- ¥270,000 (根管治療、仮歯、土台、被せ物)費用は治療当時の料金となります
治療について
治療終了後(治療開始から2ヶ月)のレントゲンで、根尖病変(根の先の病気)は縮小傾向にあります。
今後も定期的にレントゲンを撮影し、治癒の経過をみていく予定です。
クラウン(被せもの)の適合が良いこともレントゲンでわかります。
適合の良い被せものは齲蝕や歯周病、根尖病変の再発を予防します。
オールセラミッククラウンにより審美性も改善されました。
セラミック治療の注意事項(リスク・副作用など)
- 天然歯を削ります
- 硬い素材は天然歯を傷つけてしまう場合があります
- かみ合わせや歯ぎしりが強すぎる方はセラミックが割れてしまう可能性があります
- 自費診療(保険適用外治療)となります
根管治療の注意事項(リスク・副作用など)
- 根管治療により類似の全ての症例の問題が解決するわけではなく、症例はあくまでも一例です
- 根管治療により痛みや腫れがひかない事や、術後に痛みや腫れが生じる事、治療によるファイル破折やパーフォレーションなどの偶発症、術後の歯根破折を生じる可能性もあります
- 自費診療(保険適用外)となります
当サイトの内容、テキスト、画像等の無断転載、複製、複写、盗用を固く禁じます。






