症例詳細
Case detail
短期間で清潔感のある白い歯へ
治療症例の内容
- 診療科目
- 治療カテゴリ
- 患者様
- 20代女性
- 治療期間
- 1日
- 治療回数
- 1回
- 治療計画
- 歯のきばみが気になり、写真を撮る機会が増えたためホワイトニングを希望されました。
- 費用(概算)
- 29,700円費用は治療当時の料金となります
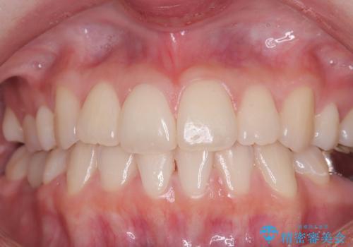
治療について
オフィスホワイトニングを行いました。
施術前に歯の状態を確認し、知覚過敏のリスクに配慮しながら施術を進めています。
施術後は全体的にトーンアップし、自然で明るい白さになりました。
担当歯科衛生士 三重野
ホワイトニングの注意事項(リスク・副作用など)
- 知覚過敏が出ることがあります
- ホワイトバンドや白い斑点が出ることがあります
- クラウンやインレー等の補綴物には効果がありません
- ホワイトニングによる効果や持続期間には個人差があります
- 歯牙の状態によっては適応できないことがあります
- 保険適用外となります
当サイトの内容、テキスト、画像等の無断転載、複製、複写、盗用を固く禁じます。


