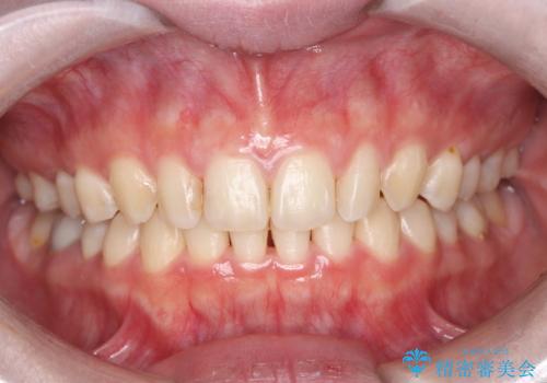
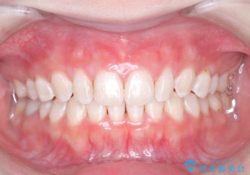
症例詳細
Case detail
オフィスホワイトニング
治療症例の内容
- 診療科目
- 治療カテゴリ
- 患者様
- 20代女性
- 治療期間
- 1ヶ月
- 治療回数
- 1回
- 治療計画
- ホワイトニングはやってみないとわかりませんが、犬歯と小臼歯が前歯に比べて黒っぽいとのこと間隔をあけずに薬のつけ方を調整して行いました。
- 費用(概算)
- 41580円費用は治療当時の料金となります
オフィスホワイトニング
ホワイトニング薬剤を調整して
全体的に白くなるように行いました。
ホワイトニングの注意事項(リスク・副作用など)
- 知覚過敏が出ることがあります
- ホワイトバンドや白い斑点が出ることがあります
- クラウンやインレー等の補綴物には効果がありません
- ホワイトニングによる効果や持続期間には個人差があります
- 歯牙の状態によっては適応できないことがあります
- 保険適用外となります
当サイトの内容、テキスト、画像等の無断転載、複製、複写、盗用を固く禁じます。



