症例詳細
Case detail
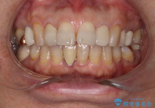
セラミックを入れる前のオフィスホワイトニング
治療症例の内容
- 診療科目
- 治療カテゴリ
- 患者様
- 60代女性
- 治療期間
- 治療回数
- 1回
- 治療計画
- 被せ物のやり替えで今より白い被せ物にしたいとオフィスホワイトニングを希望されました。
- 費用(概算)
- 20,790円費用は治療当時の料金となります
治療について
色が明るくなり嬉しそうでした。
顔色も明るくなったようだとおっしゃっていました。
ホワイトニングの注意事項(リスク・副作用など)
- 知覚過敏が出ることがあります
- ホワイトバンドや白い斑点が出ることがあります
- クラウンやインレー等の補綴物には効果がありません
- ホワイトニングによる効果や持続期間には個人差があります
- 歯牙の状態によっては適応できないことがあります
- 保険適用外となります
当サイトの内容、テキスト、画像等の無断転載、複製、複写、盗用を固く禁じます。


