症例詳細
Case detail
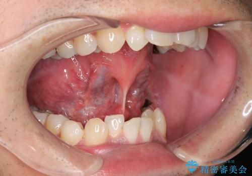
【舌小帯切除】ら行が言いづらい
治療症例の内容
- 診療科目
- 治療カテゴリ
- 担当医
- 長嶋美咲(ドクタープロフィール)
- 患者様
- 30代男性
- 治療期間
- 1ヶ月
- 治療回数
- 2-5回
- 治療計画
- 滑舌が気になり来院されました。
舌小帯を形成することにより、滑舌の改善を図ります。
- 費用(概算)
- 33,000円費用は治療当時の料金となります
治療について
舌小帯形成では舌の可動域拡大や滑舌の改善を行うことが出来ます。
また、当日に処置が可能です。
外科処置の注意事項(リスク・副作用など)
- 外科手術のため、術後に出血、痛みや腫れ、違和感を伴います
- 口腔内の状態によっては適応できないことがあります
当サイトの内容、テキスト、画像等の無断転載、複製、複写、盗用を固く禁じます。






