症例詳細
Case detail
結婚式にむけてのホワイトニング
治療症例の内容
- 診療科目
- 治療カテゴリ
- 患者様
- 20代女性
- 治療期間
- 1ヶ月
- 治療回数
- 1回
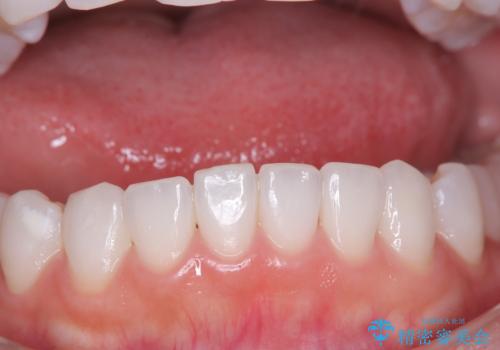
- 治療計画
- 患者様のご希望に合わせお口の中の状態により歯を白くしたい方にはホワイトニングをご提案しています
1回で終わりますが何度かレーザーホワイトニングをやりその後、ホームホワイトニングをご提案することもあります
- 費用(概算)
- 26000円費用は治療当時の料金となります
レーザーホワイトニング
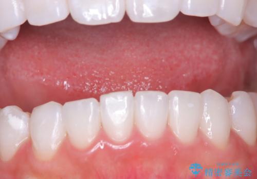
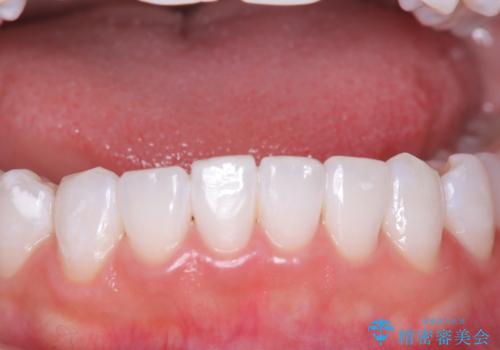
銀座平日限定のオフィスホワイトニングを2回行った方です。
その後ホームホワイトニングもお勧めしました。
結婚式に合わせて歯を白くすることができたとご満足いただけました。
衛生士内海
ホワイトニングの注意事項(リスク・副作用など)
- 知覚過敏が出ることがあります
- ホワイトバンドや白い斑点が出ることがあります
- クラウンやインレー等の補綴物には効果がありません
- ホワイトニングによる効果や持続期間には個人差があります
- 歯牙の状態によっては適応できないことがあります
- 保険適用外となります
当サイトの内容、テキスト、画像等の無断転載、複製、複写、盗用を固く禁じます。



