症例詳細
Case detail
矯正後のホワイトニング希望
治療症例の内容
- 診療科目
- 治療カテゴリ
- 患者様
- 20代女性
- 治療期間
- 1日
- 治療回数
- 1回
- 治療計画
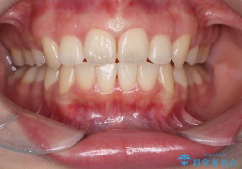
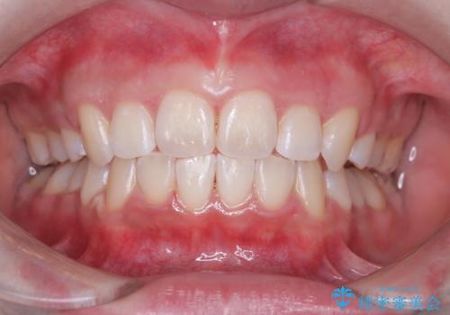
- 矯正治療が終わり歯並びも綺麗になったので黄色い歯を白くしたくなったようです。
歯並びや歯が綺麗になり笑顔も更に素敵に患者さまも喜んでいられました。
- 費用(概算)
- 20,790円費用は治療当時の料金となります
治療について
オフィスホワイトニングのブースト使用
その他の注意事項(リスク・副作用など)
- 担当歯科医師、歯科衛生士又は医院スタッフから受けた説明・注意事項をよくご確認ください
- 医療を提供するに当たり、適切な説明を行い、患者様の十分な理解を得るよう努めております
当サイトの内容、テキスト、画像等の無断転載、複製、複写、盗用を固く禁じます。


