症例詳細
Case detail
矯正治療前に歯を白くしたい!
治療症例の内容
- 診療科目
- 治療カテゴリ
- 患者様
- 20代女性
- 治療期間
- 1日
- 治療回数
- 1回
- 治療計画
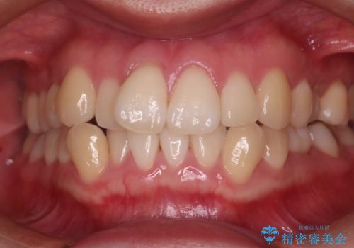
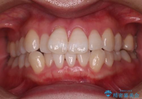
- インビザライン矯正前にホワイトニングをご希望されたため、1回である程度白くするオフィスホワイトニングを行いました。オフィスホワイトニングは1回の施術である程度白くなりますが、ご希望の白さによっては2~3回程度の施術が必要になることを説明しました。
- 費用(概算)
- 29700円(税込み)費用は治療当時の料金となります
治療について
ホワイトニングの施術は初めてで、最初の歯のトーンは暗めでしたので、オフィスホワイトニング後にホームホワイトニングの併用をお勧めしました。
新橋銀座しらゆり歯科 歯科衛生士松尾
ホワイトニングの注意事項(リスク・副作用など)
- 知覚過敏が出ることがあります
- ホワイトバンドや白い斑点が出ることがあります
- クラウンやインレー等の補綴物には効果がありません
- ホワイトニングによる効果や持続期間には個人差があります
- 歯牙の状態によっては適応できないことがあります
- 保険適用外となります
当サイトの内容、テキスト、画像等の無断転載、複製、複写、盗用を固く禁じます。


