症例詳細
Case detail
エアーフロー&オフィスホワイトニング
治療症例の内容
- 診療科目
- 治療カテゴリ
- 患者様
- 40代女性
- 治療期間
- 1日
- 治療回数
- 1回
- 治療計画
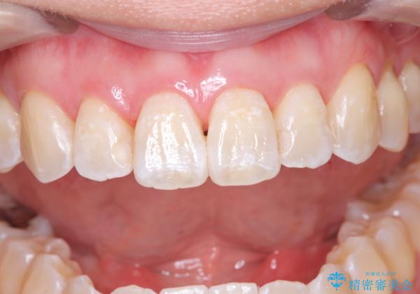
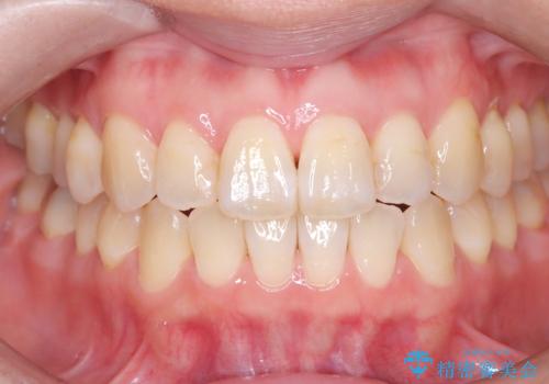
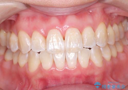
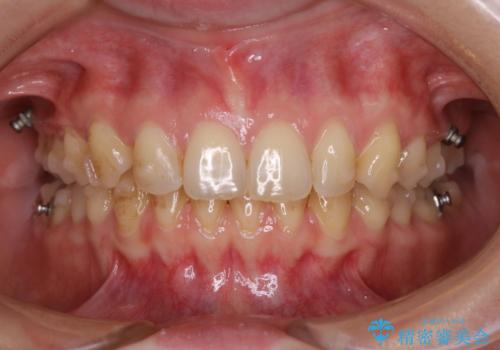
- 定期的にメンテナンスで来院されている方から歯を白くしたいと相談され、自然な色味希望と歯の表面のべたつき感じからエアーフローとホワイトニングをご提案しました
- 費用(概算)
- 18,000円費用は治療当時の料金となります
メンテナンスしながら歯を白くしていく
銀座平日限定のオフィスホワイトニングは、痛みが少なく自然な色味希望希望の方にお勧めです
歯の表面に多少の白濁はでていますが、色味のトーンが上がったため満足して頂きました
内海
ホワイトニングの注意事項(リスク・副作用など)
- 知覚過敏が出ることがあります
- ホワイトバンドや白い斑点が出ることがあります
- クラウンやインレー等の補綴物には効果がありません
- ホワイトニングによる効果や持続期間には個人差があります
- 歯牙の状態によっては適応できないことがあります
- 保険適用外となります
当サイトの内容、テキスト、画像等の無断転載、複製、複写、盗用を固く禁じます。








 
                       
                                                          

 
                   
                   
                  