症例詳細
Case detail
矯正後の初めてのホワイトニング
治療症例の内容
- 診療科目
 
- 治療カテゴリ
 
- 患者様
 - 20代男性
 
- 治療期間
 
- 治療回数
 - 1回
 
- 治療計画
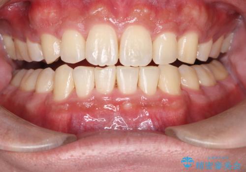
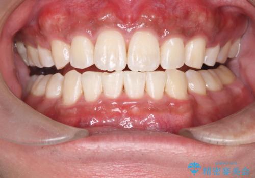
 - 初めてのオフィスホワイトニングでカウンセリンの結果ブーストの薬剤使用。
この方は施術中痛みが出た為途中で中止になりましたが痛みは直ぐに治まり
ワントーン明るくなったと喜ばれてました。
次回はティオンをお勧めしました
 
- 費用(概算)
 - 20,790円費用は治療当時の料金となります
 
治療について
施術が途中で終わりもっと白くなる可能性がある為ティオンをおすすめしました。
ホワイトニングの注意事項(リスク・副作用など)
- 知覚過敏が出ることがあります
 - ホワイトバンドや白い斑点が出ることがあります
 - クラウンやインレー等の補綴物には効果がありません
 - ホワイトニングによる効果や持続期間には個人差があります
 - 歯牙の状態によっては適応できないことがあります
 - 保険適用外となります
 
当サイトの内容、テキスト、画像等の無断転載、複製、複写、盗用を固く禁じます。

                      
                                                          
