症例詳細
Case detail
初めてのホワイトニング
治療症例の内容
- 診療科目
- 治療カテゴリ
- 患者様
- 20代女性
- 治療期間
- 1日
- 治療回数
- 1回
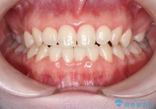
- 治療計画
- 歯の黄ばみが気になるとのことで来院されました。
前歯が冷たいものでしみやすいとのことで、症状が出にくいティオンのホワイトニングをご案内しました。
- 費用(概算)
- 20790円費用は治療当時の料金となります
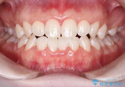
治療について
気にされていたしみや痛みなく施術することができました。
トーンアップして喜んでいただけました。
ホワイトニングの注意事項(リスク・副作用など)
- 知覚過敏が出ることがあります
- ホワイトバンドや白い斑点が出ることがあります
- クラウンやインレー等の補綴物には効果がありません
- ホワイトニングによる効果や持続期間には個人差があります
- 歯牙の状態によっては適応できないことがあります
- 保険適用外となります
当サイトの内容、テキスト、画像等の無断転載、複製、複写、盗用を固く禁じます。


