症例詳細
Case detail
白い被せ物の前に!ホワイトニングで自然な仕上がりに!
治療症例の内容
- 診療科目
- 治療カテゴリ
- 患者様
- 20代女性
- 治療期間
- 1日
- 治療回数
- 1回
- 治療計画
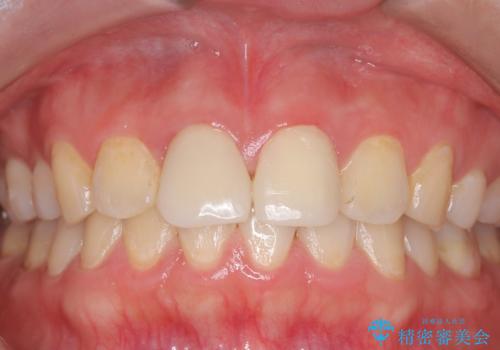
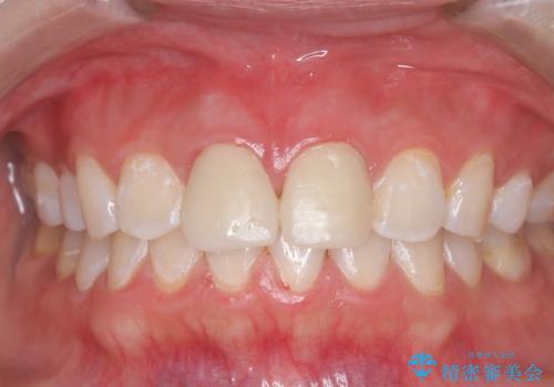
- 前歯の被せ物をやりかえる予定だが、まわりの天然歯の色が気になる。
「せっかく新しく補綴するなら、全体を明るくしたい」とのご希望。
- 費用(概算)
- 29,700円費用は治療当時の料金となります
治療について
補綴治療に入る前に、オフィスホワイトニングを1回施術。
天然歯全体をトーンアップし、その後に色調に合わせた補綴物を作製していきます。
担当歯科衛生士 三重野
ホワイトニングの注意事項(リスク・副作用など)
- 知覚過敏が出ることがあります
- ホワイトバンドや白い斑点が出ることがあります
- クラウンやインレー等の補綴物には効果がありません
- ホワイトニングによる効果や持続期間には個人差があります
- 歯牙の状態によっては適応できないことがあります
- 保険適用外となります
当サイトの内容、テキスト、画像等の無断転載、複製、複写、盗用を固く禁じます。


