症例詳細
Case detail
【歯牙移植】奥歯抜歯と言われたので親知らずを移植してほしい
治療症例の内容
- 担当医
- 町田睦月(ドクタープロフィール)
- 患者様
- 20代女性
- 治療期間
- 2ヶ月
- 治療回数
- 2-5回
- 治療計画
- 主訴:左下6番目の歯の周りが痛くなり、他院で診てもらったが抜歯と言われてしまった。ネットで歯牙移植というものを知りやっている医院を探している。
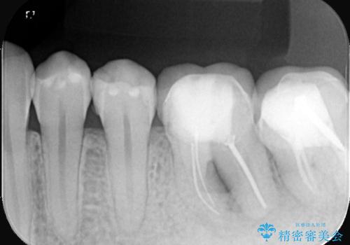
左下6番目の歯の周りに大きく透過像を認め、再根管治療後の予後が良くない可能性が大きく当院でも抜歯適用歯と説明しました。欠損部に対しインプラント治療や歯牙移植(左下の親知らずの移植)、ブリッジを提案し、歯牙移植を行うこととなりました。
- 費用(概算)
- 110,000円(税込み)費用は治療当時の料金となります
治療について
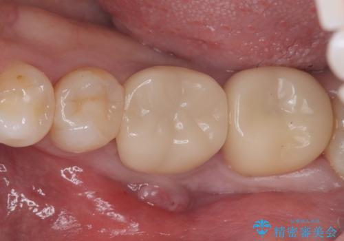
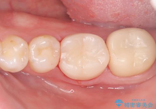
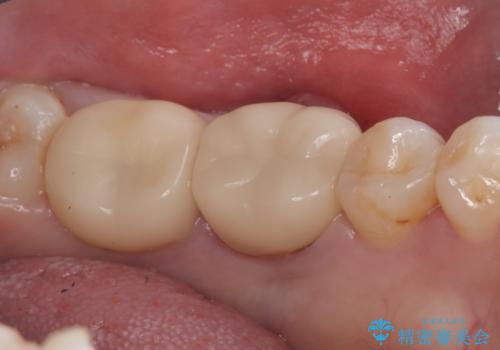
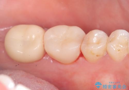
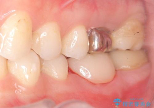
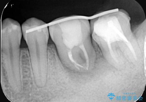
保存が難しい左下6番目の歯を抜歯し、左下8番目の歯(親知らず)を抜歯窩に移植しました。歯牙移植後の動揺防止のため暫間固定を行っています。
また移植後2週間経過時点で根管処置が必要となります。
骨との定着を確認し、今後矯正治療を行う予定のためレジン冠をセットしています。
根管治療の注意事項(リスク・副作用など)
- 根管治療により類似の全ての症例の問題が解決するわけではなく、症例はあくまでも一例です
- 根管治療により痛みや腫れがひかない事や、術後に痛みや腫れが生じる事、治療によるファイル破折やパーフォレーションなどの偶発症、術後の歯根破折を生じる可能性もあります
- 自費診療(保険適用外)となります
自家歯牙移植の注意事項(リスク・副作用など)
- 外科手術のため、術後に痛みや腫れ、違和感を伴います
- 適応範囲に制限があります(健康な親知らず・移植歯が必要など)
- 移植歯が生着しない可能性があります
- 予後が不安定で歯によっては長く持たない可能性があります
当サイトの内容、テキスト、画像等の無断転載、複製、複写、盗用を固く禁じます。














