症例詳細
Case detail
念願の白い歯をゲット
治療症例の内容
- 診療科目
- 治療カテゴリ
- 患者様
- 20代女性
- 治療期間
- 1日
- 治療回数
- 1回
- 治療計画
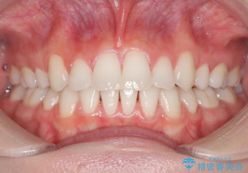
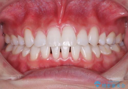
- 矯正治療終了後、装置が外れたためオフィスホワイトニングを行いました。
とても白くなり、患者様にも満足して頂けました。
- 費用(概算)
- 29,700円費用は治療当時の料金となります
治療について
矯正装置が外れ歯並びが綺麗になり、歯も白くなり最高のお口に仕上がりました。
担当衛生士 齋藤
ホワイトニングの注意事項(リスク・副作用など)
- 知覚過敏が出ることがあります
- ホワイトバンドや白い斑点が出ることがあります
- クラウンやインレー等の補綴物には効果がありません
- ホワイトニングによる効果や持続期間には個人差があります
- 歯牙の状態によっては適応できないことがあります
- 保険適用外となります
当サイトの内容、テキスト、画像等の無断転載、複製、複写、盗用を固く禁じます。


