症例詳細
Case detail
40代 男性 ホワイトニングで歯を白く
治療症例の内容
- 診療科目
- 治療カテゴリ
- 患者様
- 40代男性
- 治療期間
- 1日
- 治療回数
- 1回
- 治療計画
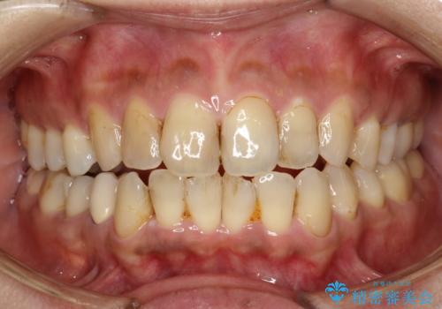
- 歯を白くしたいと来院された患者様です。
 
 右上の前から2番目の歯は根管治療をされている歯で、1番前の歯は根管治療はされていないが変色している歯でした。
 2番目の歯に対しては歯質が多く残っていたためウォーキングブリーチ(ホワイトニング)を行い、その他はレーザーホワイトニングを行いました。
 
- 費用(概算)
- ¥20,000費用は治療当時の料金となります
治療について
ウォーキングブリーチとは歯の中に薬剤を入れて中からホワイトニングする方法で、根管治療がされている歯のみが対象となります。
ホワイトニングは歯の表面に薬剤(ジェル)を塗りレーザーで活性化させるものです。
レーザーホワイトニングは施術したその場で白くすることができますが、ウォーキングブリーチの場合は白くなるまで3日ほど時間がかかります。
今回の治療ではまず最初に右上の2番のウォーキングブリーチを行い、その後にレーザーホワイトニングを行い白くなるタイミングが一緒になるように配慮いたしました。
最初と比較し周囲の歯と変色した歯の調和を取ることができました。
ホワイトニングは歯が厚みがある部分には薬剤が浸透しにくいため、歯の根元の部分や犬歯・奥歯よりも、歯の先の部分(切縁)や前歯の方が白くなりやすいです。
ホワイトニングは3ヶ月〜2年ほどで色が戻る(後戻り)ため、白さを保つためにはホームホワイトニングの併用をお勧め致します。
ホワイトニングの注意事項(リスク・副作用など)
- 知覚過敏が出ることがあります
- ホワイトバンドや白い斑点が出ることがあります
- クラウンやインレー等の補綴物には効果がありません
- ホワイトニングによる効果や持続期間には個人差があります
- 歯牙の状態によっては適応できないことがあります
- 保険適用外となります
当サイトの内容、テキスト、画像等の無断転載、複製、複写、盗用を固く禁じます。








 
                       
                                                          


 
                   
                   
                  