症例詳細
Case detail
【インプラント】噛んだら痛みがある
治療症例の内容
- 診療科目
- 治療カテゴリ
- 担当医
- 町田睦月(ドクタープロフィール)
- 患者様
- 50代男性
- 治療期間
- 6ヶ月
- 治療回数
- 2-5回
- 治療計画
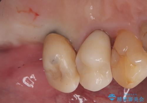
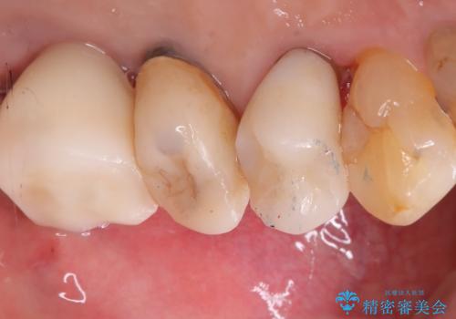
- 主訴:食べ物噛むと左奥歯が痛い
左上6番目の歯が根っこ部分で破折しており、噛むたびに痛みが生じる状態でした。
保存不可能と判断し、抜歯から骨ができるのを3か月待ってインプラント治療を行いました。
- 費用(概算)
- 440,000円(税込み)費用は治療当時の料金となります
治療について
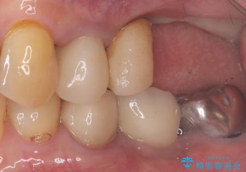
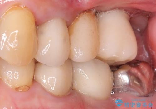
歯根破折により抜歯となり、インプラント治療(一回法)にて補綴修復を行いました。
抜歯から3か月程骨ができてくるのを待ってからインプラントを埋入しています。
埋入時には上顎洞粘膜を数ミリ挙上しています。
インプラント治療の注意事項(リスク・副作用など)
- 外科手術のため、術後に痛みや腫れ、違和感を伴います
- メンテナンスを怠ったり喫煙により、お口の中に大きな悪影響を及ぼすインプラント周囲炎等にかかる可能性があります
- 糖尿病、肝硬変、心臓病等の場合、インプラント治療ができない可能性があります
- 高血圧、貧血・不整脈等の場合、インプラント治療後に治癒不全を招く可能性があります
- 自費診療(保険適用外治療)となります
当サイトの内容、テキスト、画像等の無断転載、複製、複写、盗用を固く禁じます。









