症例詳細
Case detail
骨隆起を取りたい
治療症例の内容
- 担当医
- 岡田康成(ドクタープロフィール)
- 患者様
- 30代男性
- 治療期間
- 1ヶ月
- 治療回数
- 2-5回
- 治療計画
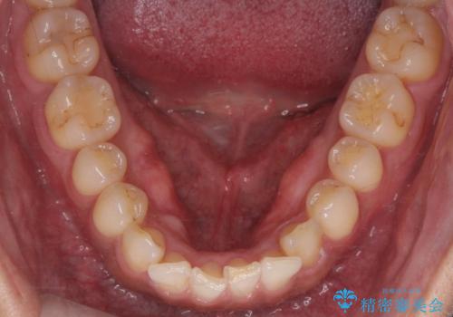
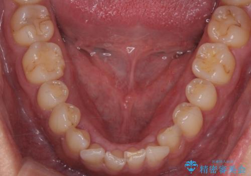
- 下顎の骨隆起を取りたいとのことで来院された患者様です。
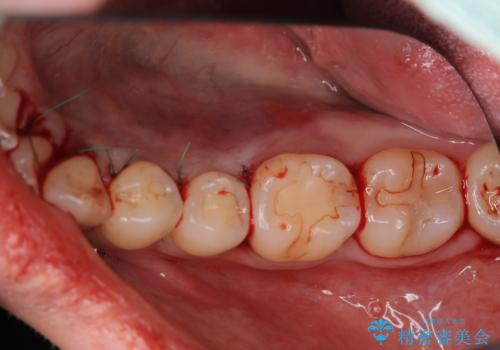
一般的な歯科治療で用いる局所麻酔下で進めていきます。
- 費用(概算)
- 保険治療費用は治療当時の料金となります
治療について
右側と左側で2回に分けて行いました。
術後1週間での抜糸となります。
外科処置の注意事項(リスク・副作用など)
- 外科手術のため、術後に出血、痛みや腫れ、違和感を伴います
- 口腔内の状態によっては適応できないことがあります
当サイトの内容、テキスト、画像等の無断転載、複製、複写、盗用を固く禁じます。








