症例詳細
Case detail
前歯の根のところに違和感がある|根尖性歯周炎|精密根管治療|オールセラミッククラウン|見た目も改善
治療症例の内容
- 担当医
- 河野豊嘉(ドクタープロフィール)
- 患者様
- 40代男性
- 治療期間
- 1ヶ月
- 治療回数
- 2-5回
- 治療計画
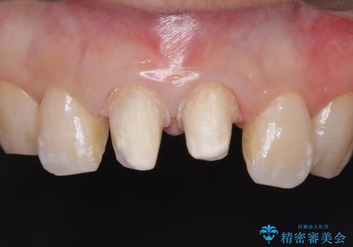
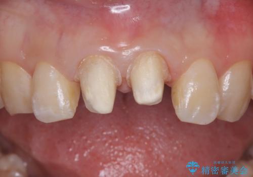
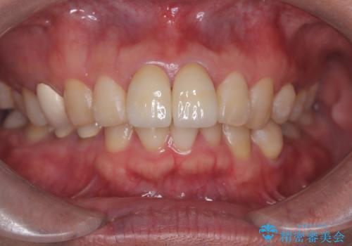
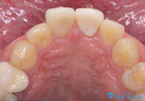
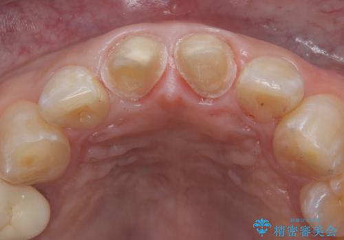
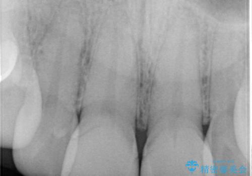
- 前歯の違和感を主訴にご来院された患者様です。
根尖性歯周炎に罹患し根の先に膿が溜まっているのが原因でした。
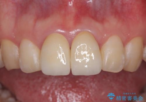
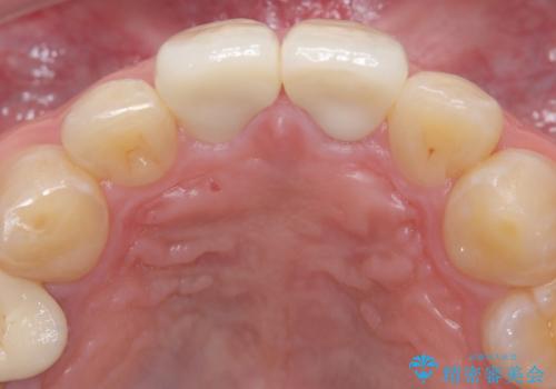
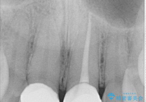
精密根管治療後、オールセラミッククラウンで治療を行いました。
治療後、違和感は無くなりました。
- 費用(概算)
- 39.6万円(精密根管治療イニシャルケース11万円+ファイバーコア2.2万円+仮歯1.1万円×2+オールセラミッククラウンスタンダード12.1万円×2)費用は治療当時の料金となります
治療について
精密根管治療では、菌を入れない環境を作り見逃しが無いようにマイクロスコープを使って治療する事が大切です。
まだ誰も触っていない根管ならばほとんどのケースで治せる事が出来ます。
治療後、違和感が無くなり、被せ物で歯の長さが揃い見た目も改善されとてもご満足していただけました。
セラミック治療の注意事項(リスク・副作用など)
- 天然歯を削ります
- 硬い素材は天然歯を傷つけてしまう場合があります
- かみ合わせや歯ぎしりが強すぎる方はセラミックが割れてしまう可能性があります
- 自費診療(保険適用外治療)となります
根管治療の注意事項(リスク・副作用など)
- 根管治療により類似の全ての症例の問題が解決するわけではなく、症例はあくまでも一例です
- 根管治療により痛みや腫れがひかない事や、術後に痛みや腫れが生じる事、治療によるファイル破折やパーフォレーションなどの偶発症、術後の歯根破折を生じる可能性もあります
- 自費診療(保険適用外)となります
当サイトの内容、テキスト、画像等の無断転載、複製、複写、盗用を固く禁じます。





















