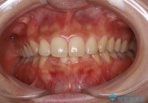
症例詳細
Case detail
ブライダルホワイトニング
治療症例の内容
- 診療科目
- 治療カテゴリ
- 患者様
- 30代女性
- 治療期間
- 治療回数
- 1回
- 治療計画
- 1か月後に結婚式があるため、歯を白くしたいとのことでした。
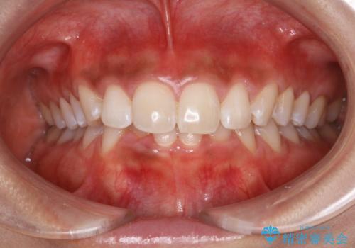
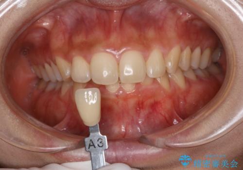
オフィスホワイトニング(TION Whitening・処置前クリーニング込み)コースを行いました。
事前に痛み止めを服用して行った為、施術中の痛みを感じることなく受けていただくことができました。
ご希望の自然な白さに、トーンアップしたとのことで満足していただけました。
ホワイトニング後は、ホワイトバンドや白い斑点がでることがあります。
その場合、追加でオフィスホワイトニングを行うことや、ホームホワイトニングの併用を行うことで、均一な白さに近づけることができます。
結婚式やイベント前のホワイトニングは、早めに行うことがおすすめです。
- 費用(概算)
- ¥38500税込み費用は治療当時の料金となります
ホワイトニングとは
ホワイトニングは、歯を削ったり、傷つけたりすることなく歯の内部の象牙質まで浸透し、色素を分解して漂白することができます。
薬剤に含まれる有効成分(過酸化水素・過酸化尿素)には、歯を痛めることなく白くする効果があります。
オフィスホワイトニングとホームホワイトニングの違い
▼オフィスホワイトニング
・歯科医院にて行う(初回はカウンセリング)
・施術時間約120分
・一回で効果がでる
・ホワイトニング剤を塗り、光を照射してホワイトニング効果を促進させる
▼ホームホワイトニング
・自宅で行う
・2週間続けて行い、徐々に白くしていく
・専用のマウスピースを作成し、そこにホワイトニングジェルを注入して装着する
・時間をかけて薬剤を深く浸透させるので、効果が高い
・オフィスホワイトニングよりも白さが持続する
担当
渋谷しらゆり歯科 DH橋川
ホワイトニングの注意事項(リスク・副作用など)
- 知覚過敏が出ることがあります
- ホワイトバンドや白い斑点が出ることがあります
- クラウンやインレー等の補綴物には効果がありません
- ホワイトニングによる効果や持続期間には個人差があります
- 歯牙の状態によっては適応できないことがあります
- 保険適用外となります
当サイトの内容、テキスト、画像等の無断転載、複製、複写、盗用を固く禁じます。




