症例詳細
Case detail
奥歯のインプラント治療
治療症例の内容
- 診療科目
- 治療カテゴリ
- 担当医
- 草深敏毅(ドクタープロフィール)
- 患者様
- 40代女性
- 治療期間
- 6ヶ月
- 治療回数
- 5-10回
- 治療計画
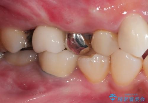
- 奥歯で噛んだ時の違和感を主訴に来院された患者様です。
歯根の先端の病変が大きく割れてしまっていた為、抜歯の必要がありました。
レントゲン等、検査を行ったところ骨の厚みは問題ないですが、
高さは少し低かったので、幅が太い短いインプラントを使って治療を行う計画を立てました。
- 費用(概算)
- 50万円費用は治療当時の料金となります
治療について
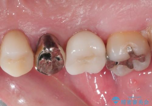
インプラント治療により問題無く奥歯で噛めるようになりましたが、奥歯の噛み合わせが強いためインプラント周囲の骨吸収や他の歯の破折等が起きる可能性があります。
夜間就寝時のマウスピース装着、定期的なメンテナンスでレントゲン、噛み合わせの確認は必須です。
インプラント治療の注意事項(リスク・副作用など)
- 外科手術のため、術後に痛みや腫れ、違和感を伴います
- メンテナンスを怠ったり喫煙により、お口の中に大きな悪影響を及ぼすインプラント周囲炎等にかかる可能性があります
- 糖尿病、肝硬変、心臓病等の場合、インプラント治療ができない可能性があります
- 高血圧、貧血・不整脈等の場合、インプラント治療後に治癒不全を招く可能性があります
- 自費診療(保険適用外治療)となります
当サイトの内容、テキスト、画像等の無断転載、複製、複写、盗用を固く禁じます。














