症例詳細
Case detail
挙式前のオフィスホワイトニング!
治療症例の内容
- 診療科目
- 治療カテゴリ
- 患者様
- 30代男性
- 治療期間
- 1日
- 治療回数
- 1回
- 治療計画
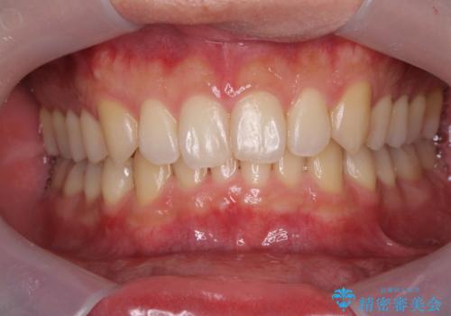
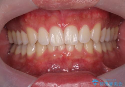
- 挙式を10日後に控えた患者様のホワイトニング施術をさせて頂きました。
違和感の無い白さにしたい…とのご要望があった為、施術中は患者様と白さ及び
知覚過敏の症状の有無を含め確認し慎重に進めました。
- 費用(概算)
- 33.000円費用は治療当時の料金となります
歯科衛生士 有岡
挙式を10日後に控えた患者様のホワイトニング施術をさせて頂きました。
違和感の無い白さにしたい…とのご要望があった為、施術中は患者様と白さ及び
知覚過敏の症状の有無を含め確認し慎重に進め患者様にも大変ご満足頂く事が出来ました。
ホワイトニングの注意事項(リスク・副作用など)
- 知覚過敏が出ることがあります
- ホワイトバンドや白い斑点が出ることがあります
- クラウンやインレー等の補綴物には効果がありません
- ホワイトニングによる効果や持続期間には個人差があります
- 歯牙の状態によっては適応できないことがあります
- 保険適用外となります
当サイトの内容、テキスト、画像等の無断転載、複製、複写、盗用を固く禁じます。


