症例詳細
Case detail
通院1回で輝く白い歯に
治療症例の内容
- 診療科目
- 治療カテゴリ
- 患者様
- 20代女性
- 治療期間
- 1日
- 治療回数
- 1回
- 治療計画
- ホワイトニングに以前から興味があり、やってみたいということでオフィスホワイトニングを行いました。
- 費用(概算)
- 29,700円費用は治療当時の料金となります
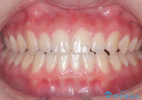
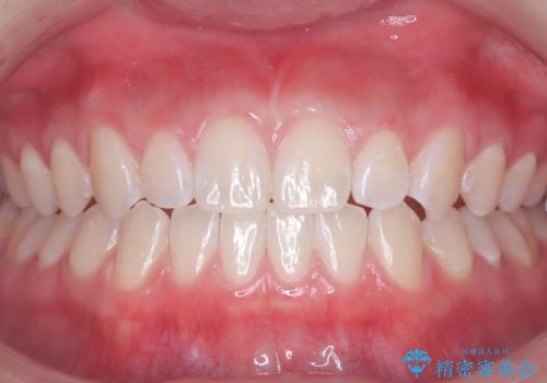
治療について
インビザライン矯正中の患者様です。アタッチメントを外したタイミングでオフィスホワイトニングを行いました。
患者様も想像より白くなり、とても喜んで頂けました。
美白歯磨き粉も併用して白さを維持していくことをお勧めしました。
担当歯科衛生士 三重野
ホワイトニングの注意事項(リスク・副作用など)
- 知覚過敏が出ることがあります
- ホワイトバンドや白い斑点が出ることがあります
- クラウンやインレー等の補綴物には効果がありません
- ホワイトニングによる効果や持続期間には個人差があります
- 歯牙の状態によっては適応できないことがあります
- 保険適用外となります
当サイトの内容、テキスト、画像等の無断転載、複製、複写、盗用を固く禁じます。


