症例詳細
Case detail
1回で実感、白い歯
治療症例の内容
- 診療科目
- 治療カテゴリ
- 患者様
- 20代女性
- 治療期間
- 1日
- 治療回数
- 1回
- 治療計画
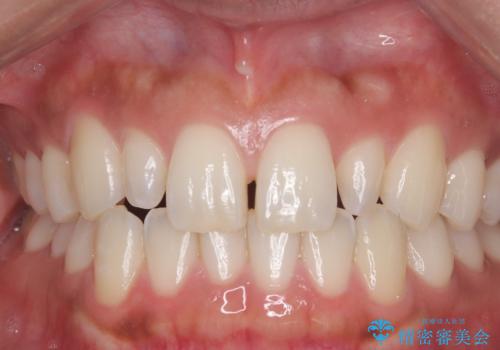
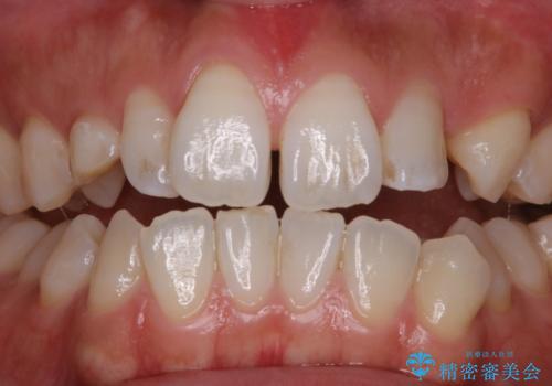
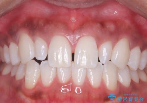
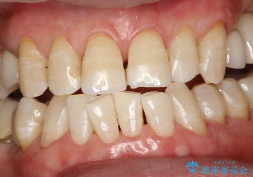
- 被せ物の治療をする前にホワイトニングしたいということで、オフィスホワイトニングを行いました。
- 費用(概算)
- 29,700円費用は治療当時の料金となります
治療について
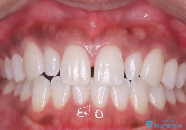
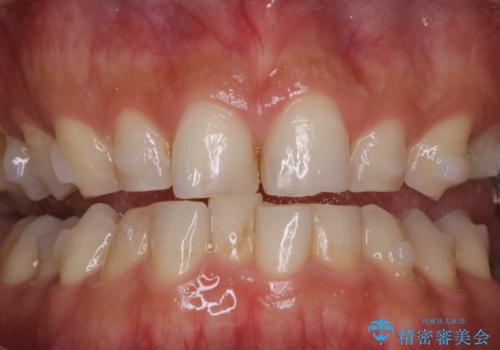
初めてのホワイトニングということで、どこまでトーンがあがるか心配されていましたが、満足する白さになり喜んでいただけました。安定した白さを保つためには、ホームホワイトニングもおすすめです。
担当歯科衛生士 三重野
ホワイトニングの注意事項(リスク・副作用など)
- 知覚過敏が出ることがあります
- ホワイトバンドや白い斑点が出ることがあります
- クラウンやインレー等の補綴物には効果がありません
- ホワイトニングによる効果や持続期間には個人差があります
- 歯牙の状態によっては適応できないことがあります
- 保険適用外となります
当サイトの内容、テキスト、画像等の無断転載、複製、複写、盗用を固く禁じます。


