症例詳細
Case detail
舌小帯が気になる。 舌小帯切除術
治療症例の内容
- 診療科目
- 治療カテゴリ
- 担当医
- 岡田康成(ドクタープロフィール)
- 患者様
- 20代男性
- 治療期間
- 1ヶ月
- 治療回数
- 2-5回
- 治療計画
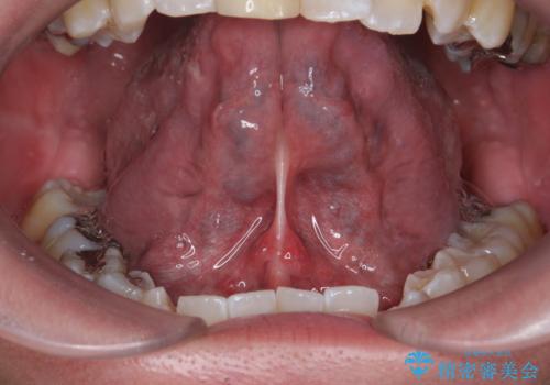
- 滑舌が気になるため舌小帯を切りたいとのことで来院された患者様です。
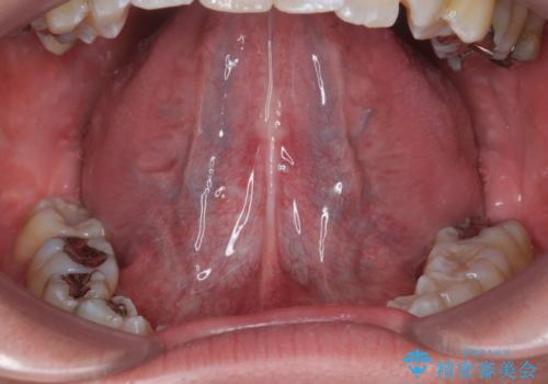
舌小帯切除を行い、滑舌の改善をはかります。
- 費用(概算)
- 舌小帯切除:33,000円(税込)費用は治療当時の料金となります
治療について
治癒も良好で、しゃべりやすくなったと大変喜んでいただけました。
この治療は、来院された当日での処置が可能です。
外科処置の注意事項(リスク・副作用など)
- 外科手術のため、術後に出血、痛みや腫れ、違和感を伴います
- 口腔内の状態によっては適応できないことがあります
当サイトの内容、テキスト、画像等の無断転載、複製、複写、盗用を固く禁じます。








