症例詳細
Case detail
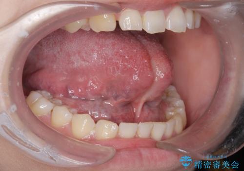
舌小帯切りたい。
治療症例の内容
- 診療科目
- 治療カテゴリ
- 担当医
- 青山卓弘(ドクタープロフィール)
- 患者様
- 20代女性
- 治療期間
- 1日
- 治療回数
- 2-5回
- 治療計画
- 舌小帯を切りたいとの事で来院。
麻酔を行い、舌小帯切除術を行いました。
- 費用(概算)
- 舌小帯切除術 3.3万円費用は治療当時の料金となります
治療について
舌の可動域が広がりました。
舌小帯切除は1日で処置が終わります。
1週間後には抜糸をする必要があるので通院は2回で終了します。
外科処置の注意事項(リスク・副作用など)
- 外科手術のため、術後に出血、痛みや腫れ、違和感を伴います
- 口腔内の状態によっては適応できないことがあります
その他の注意事項(リスク・副作用など)
- 担当歯科医師、歯科衛生士又は医院スタッフから受けた説明・注意事項をよくご確認ください
- 医療を提供するに当たり、適切な説明を行い、患者様の十分な理解を得るよう努めております
当サイトの内容、テキスト、画像等の無断転載、複製、複写、盗用を固く禁じます。






