症例詳細
Case detail
歯槽堤保存術 → インプラント治療
治療症例の内容
- 診療科目
- 治療カテゴリ
- 担当医
- 青山卓弘(ドクタープロフィール)
- 患者様
- 40代女性
- 治療期間
- 1年
- 治療回数
- 2-5回
- 治療計画
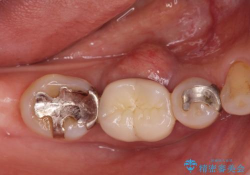
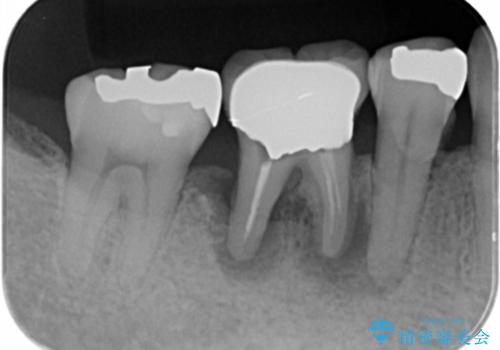
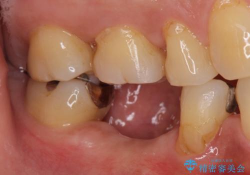
- 歯茎が腫れて痛いとの事で来院。
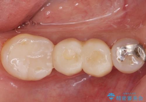
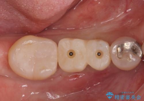
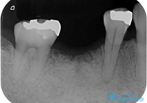
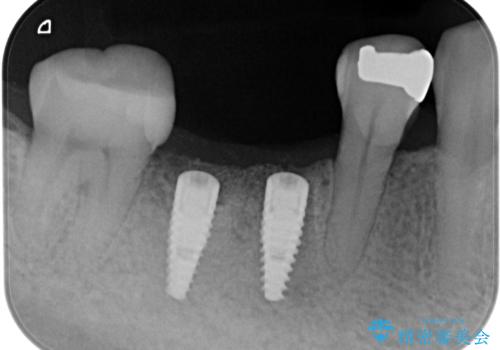
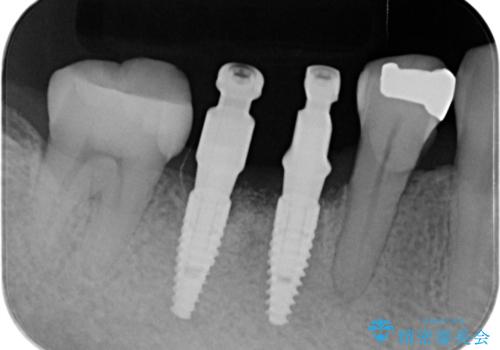
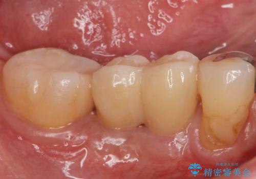
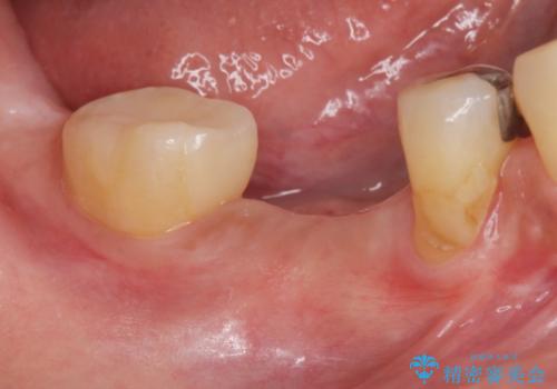
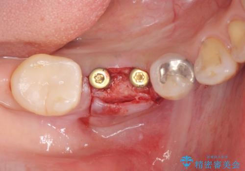
保存できない状態でしたので抜歯をして歯槽堤保存術を行いました。その後大臼歯部にインプラント治療を行いました。
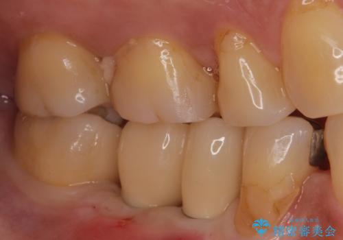
欠損部に1本だけインプラントを埋入しても大きな被せ物になってしまい清掃性が悪くなるので清掃性が良くなるように2本小臼歯用のインプラントを埋入しました。
また1番奥の歯はセラミックインレーで治療を行いました。
- 費用(概算)
- 抜歯、歯槽堤保存術・11万円 インプラント体、アバット、仮歯、ジルコニアクラウン・42.9万円×2 骨造成・5.5万円 e-maxインレー・7.7万円 費用は治療当時の料金となります
治療について
無事インプラントが入りました。
インプラント治療をしてもメンテナンスを怠っているとインプラント歯周炎になるリスクがあがるのでメンテナンスをお勧めします。
セラミック治療の注意事項(リスク・副作用など)
- 天然歯を削ります
- 硬い素材は天然歯を傷つけてしまう場合があります
- かみ合わせや歯ぎしりが強すぎる方はセラミックが割れてしまう可能性があります
- 自費診療(保険適用外治療)となります
外科処置の注意事項(リスク・副作用など)
- 外科手術のため、術後に出血、痛みや腫れ、違和感を伴います
- 口腔内の状態によっては適応できないことがあります
静脈内鎮静法の注意事項(リスク・副作用など)
- 回復後も多少眠気が残る可能性があります
- 治療中の記憶が残る場合があります
- 意識が完全になくなることはないため、2時間程度の治療で適応となります
- 静脈穿刺時に痛みがあります
- 治療当日は乗り物の運転は控える必要があります
- 自費診療(保険適用外)となります
その他の注意事項(リスク・副作用など)
- 担当歯科医師、歯科衛生士又は医院スタッフから受けた説明・注意事項をよくご確認ください
- 医療を提供するに当たり、適切な説明を行い、患者様の十分な理解を得るよう努めております
当サイトの内容、テキスト、画像等の無断転載、複製、複写、盗用を固く禁じます。



































