症例詳細
Case detail
【再生療法】急に歯茎がすごく痛くなった
治療症例の内容
- 診療科目
- 担当医
- 町田睦月(ドクタープロフィール)
- 患者様
- 30代女性
- 治療期間
- 1年11ヶ月
- 治療回数
- 5-10回
- 治療計画
- 主訴:急に右下歯茎が痛くなった
右下一番奥の歯茎が激しく痛むと来院されました。
右下7番遠心に深い歯周ポケットが存在し、深い骨欠損も認めたため、放置・悪化すると歯の喪失につながるリスクを説明し、歯科衛生士による歯周病治療を挟んだ後再生療法を行いました。
- 費用(概算)
- 77,000円費用は治療当時の料金となります
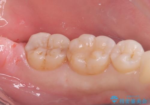
治療について
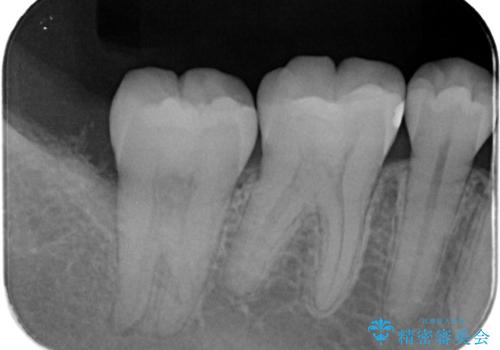
来院時、右下7遠心9mm、舌側6mmと深い歯周ポケットを認めました。
遠心から舌側、唇側に及ぶ深い垂直的骨欠損も認めたため、歯科衛生士による歯周基本治療の後、歯周外科(再生療法)を行いました。
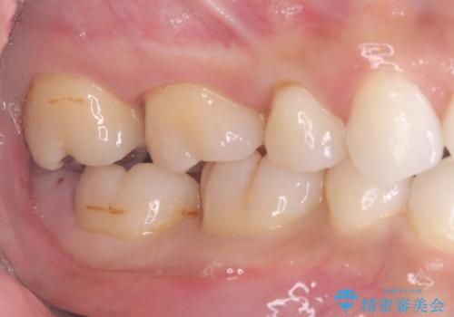
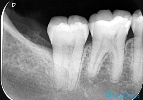
レントゲン写真は、処置後一年経過時のもので、歯周ポケットは遠心4mm、舌側3mmまで減少、出血なし。
一度目の再生療法でできる骨形態は移行的でないこともあるため、経過を診つつ骨整形も必要であれば今後行う予定です。
歯周病治療の注意事項(リスク・副作用など)
- 外科手術のため、術後に痛みや腫れ、違和感を伴います
- 歯周組織再生治療は患者様の状態によって術後の経過が異なります(見た目が改善しない場合もあります)
- 歯周組織再生治療は自費診療(保険適用外)となります
当サイトの内容、テキスト、画像等の無断転載、複製、複写、盗用を固く禁じます。















